大人の矯正治療
装置別で選ぶ矯正治療
マウスピース型矯正装置
インビザライン
エンジェルアライナー
インハウスアライナー
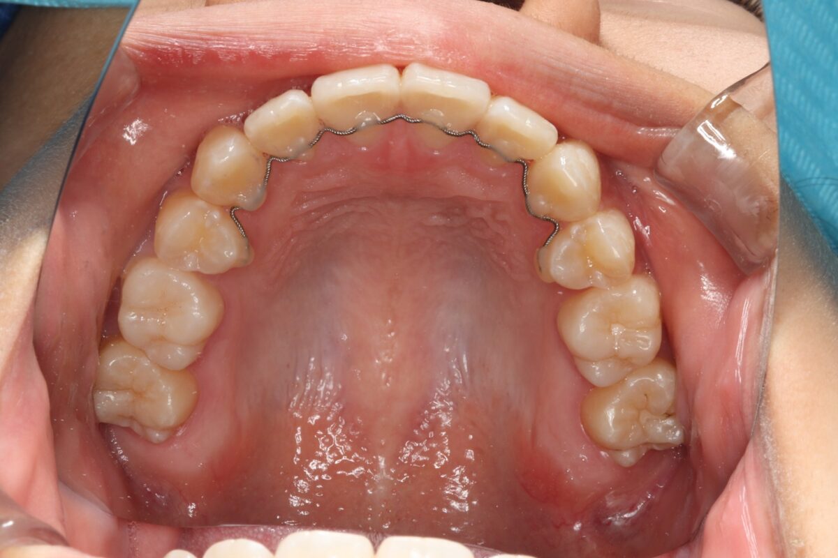
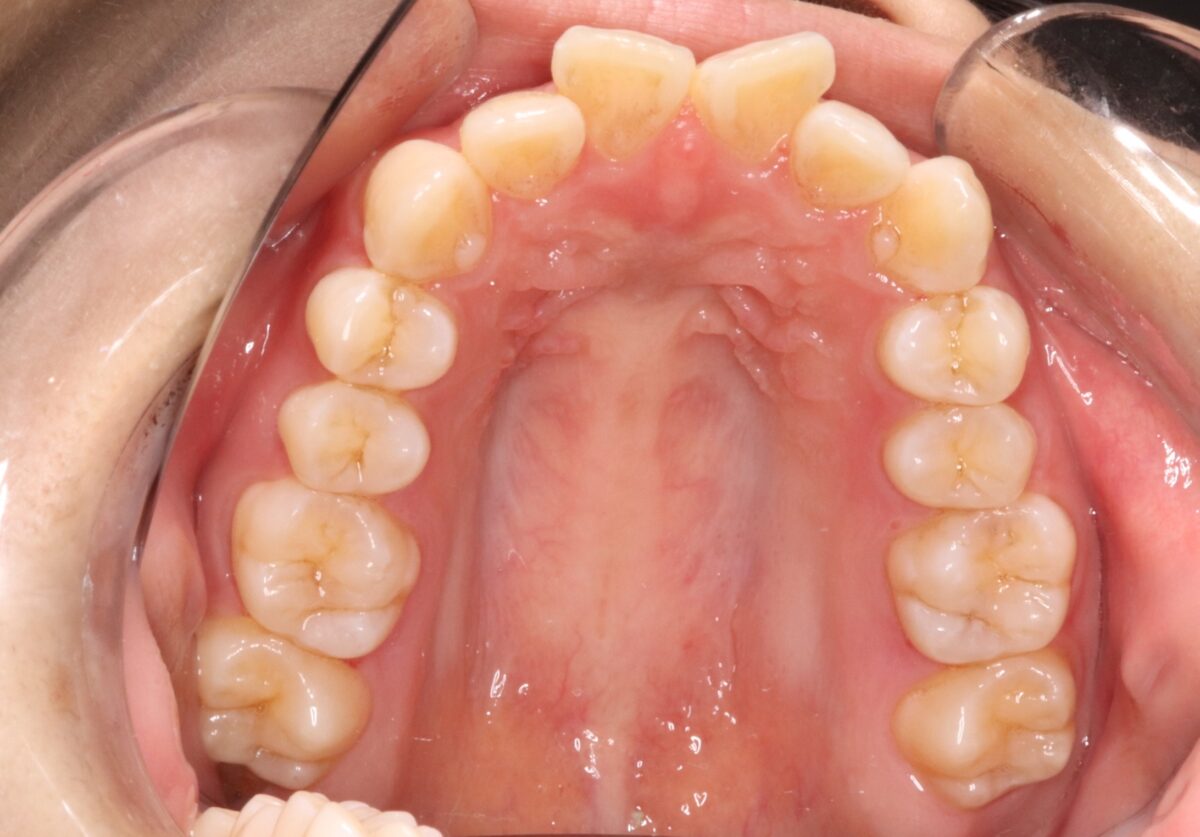
ワイヤー矯正
表側矯正
舌側矯正
ハーフリンガル
目的に合わせた矯正治療
部分矯正
ハイブリッド矯正
アンカースクリュー
子どもの矯正治療
乳歯の時期の矯正治療(0期治療)
小学生の矯正治療(1期治療)
中学生・高校生の矯正治療(2期治療)
咬合誘導装置(プレオルソ)
マウスピース型矯正装置
(インビザライン・ファースト)
口腔筋機能療法(MFT)
お悩み別メニュー
治療について
他院で矯正治療を断られた
矯正途中の転院をお考えの方
歯並びが後戻りしてきた
セカンドオピニオンについて
料金設定が分からない
矯正治療を失敗しないための選び方
よくある質問
見た目が気になる
口先がEラインから出ている(口ゴボ)
顎がなく口元が出ている(アデノイド顔貌)
笑った時に歯茎が見える(ガミースマイル)
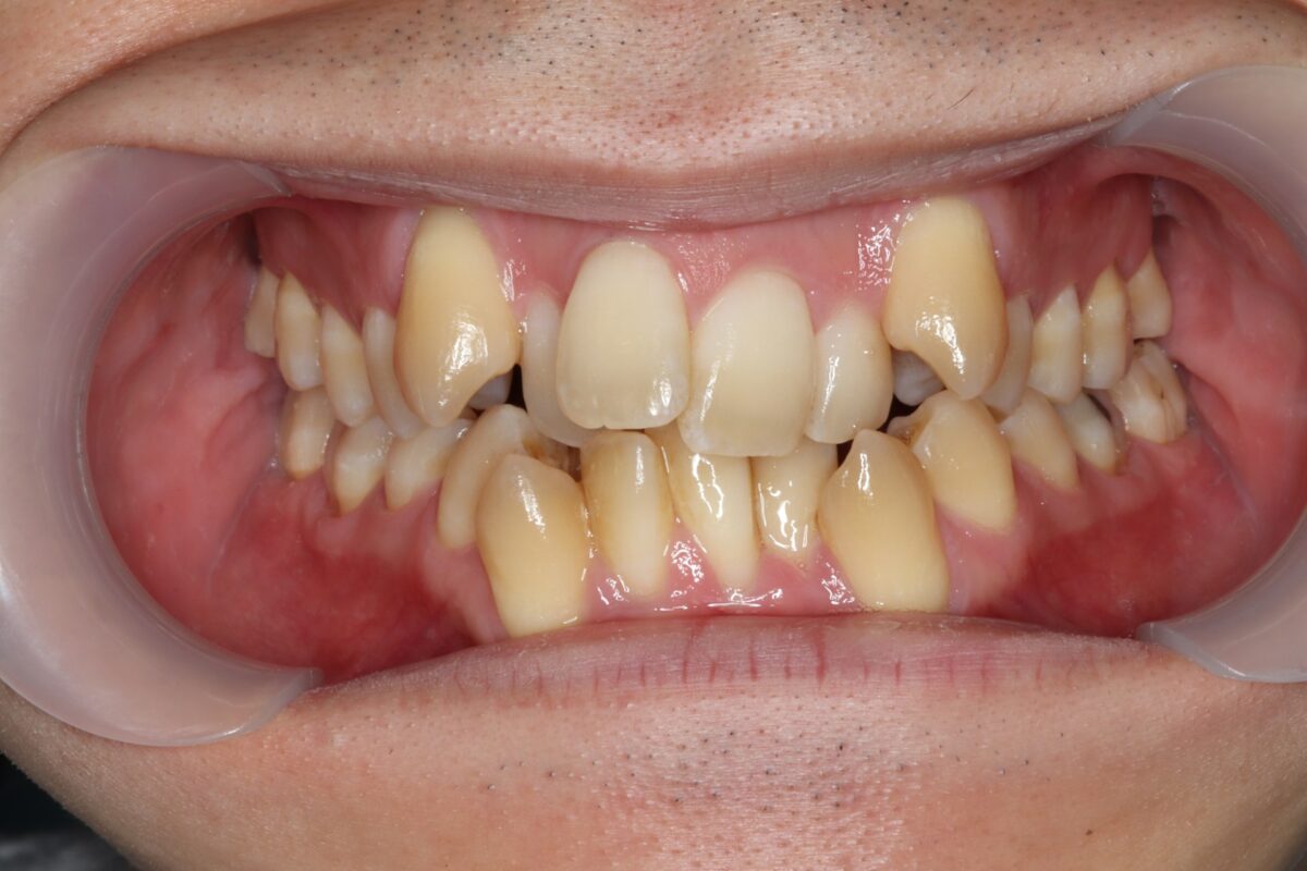
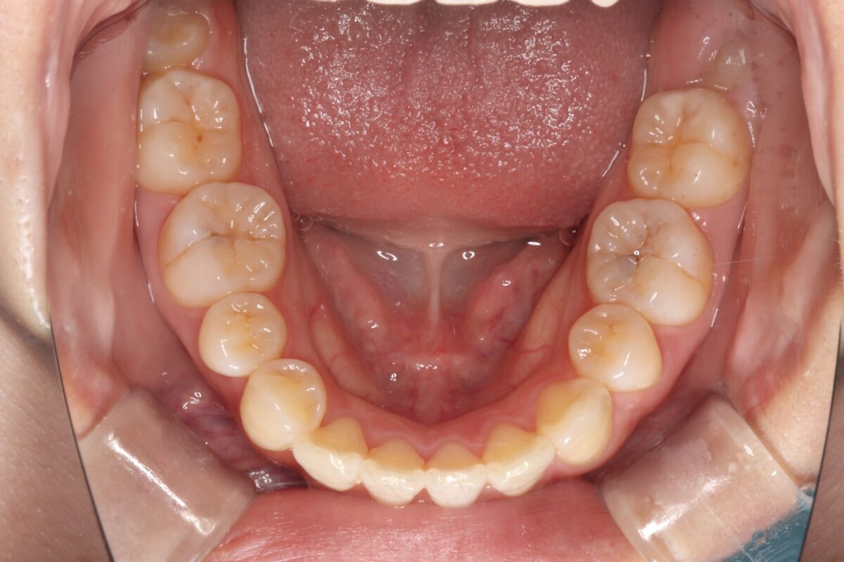
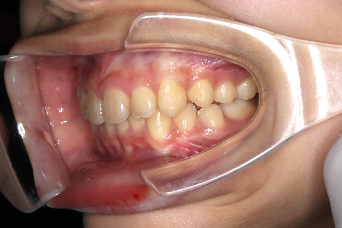
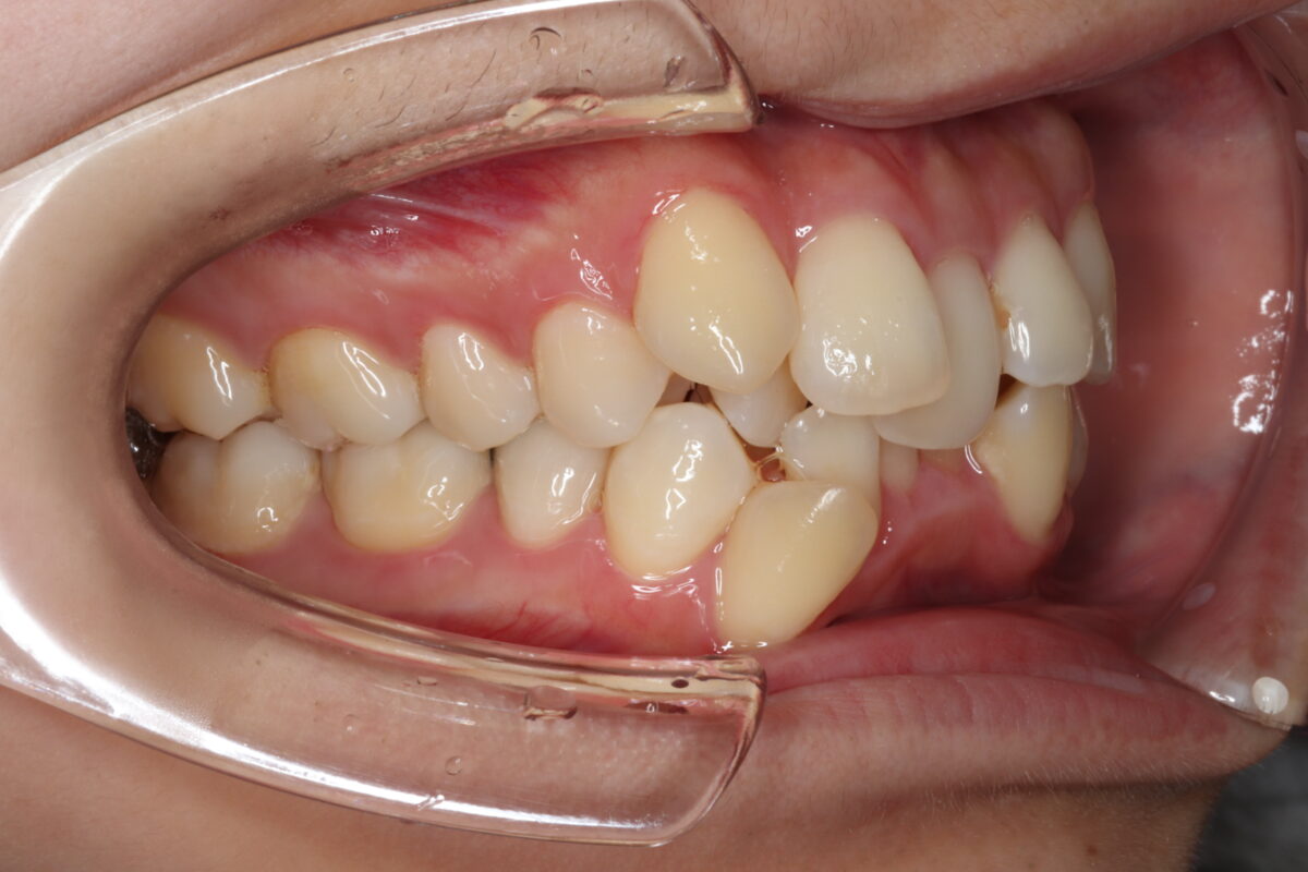
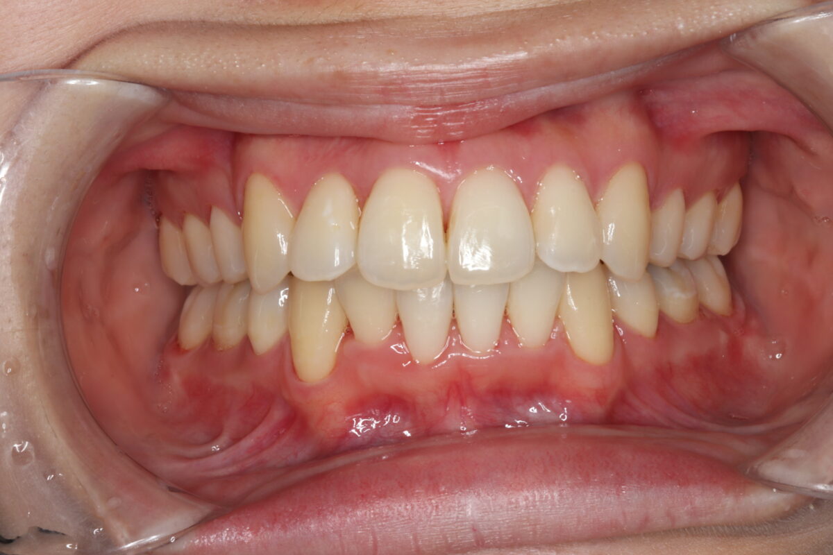
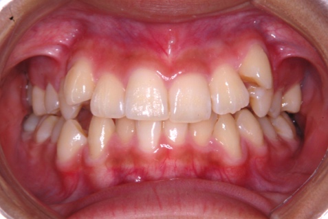
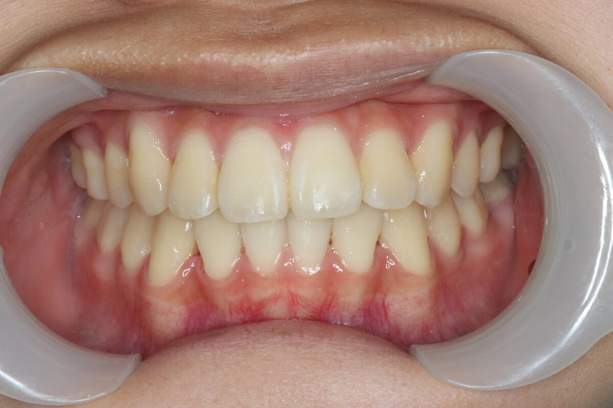
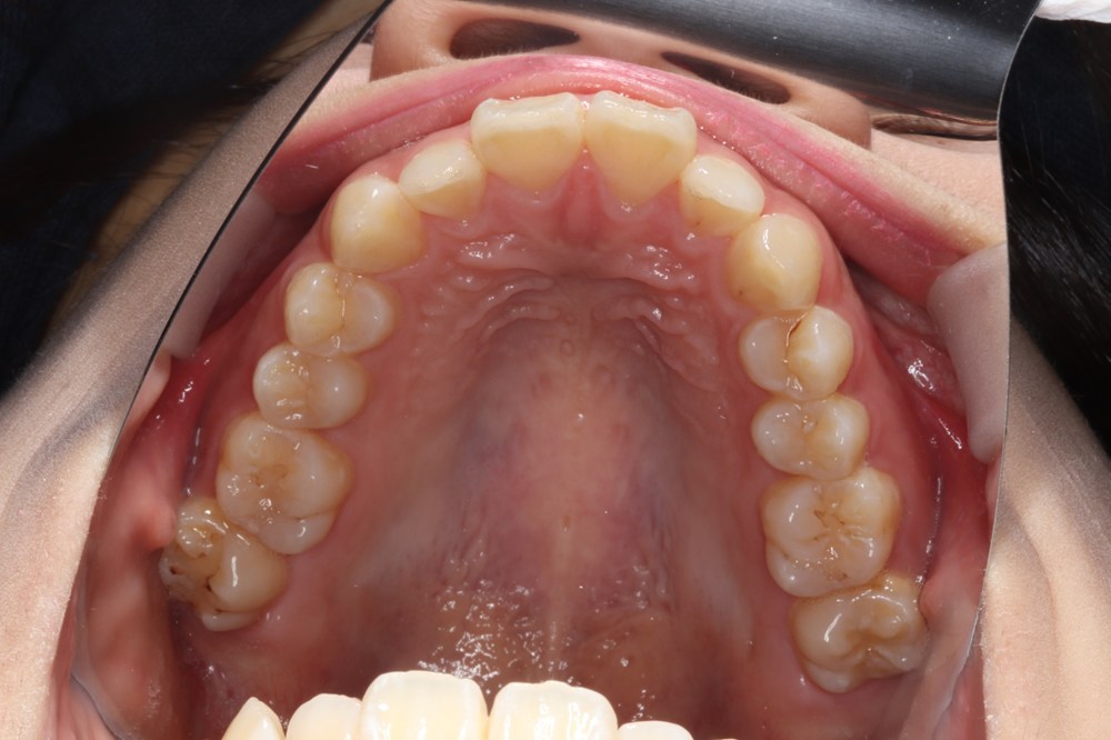
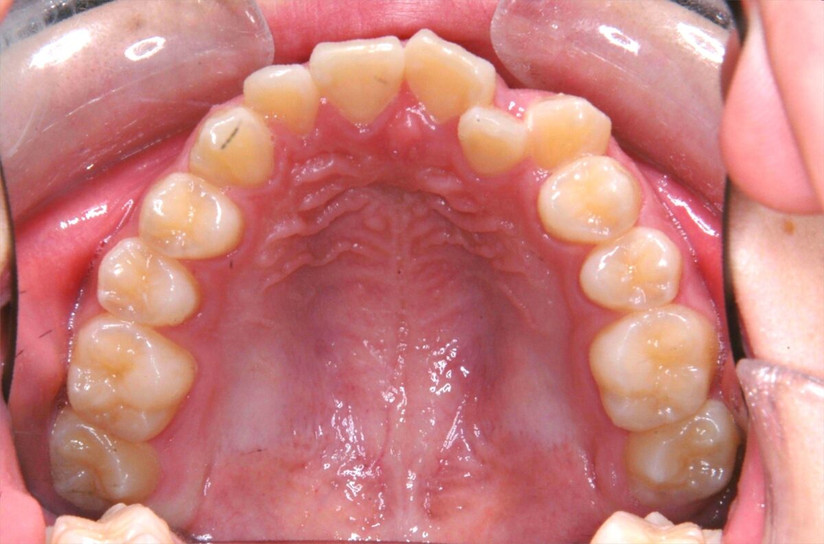
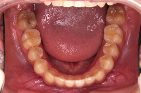
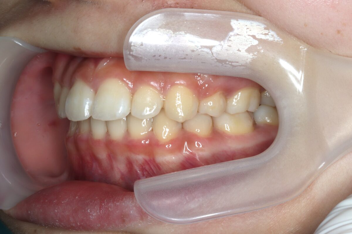
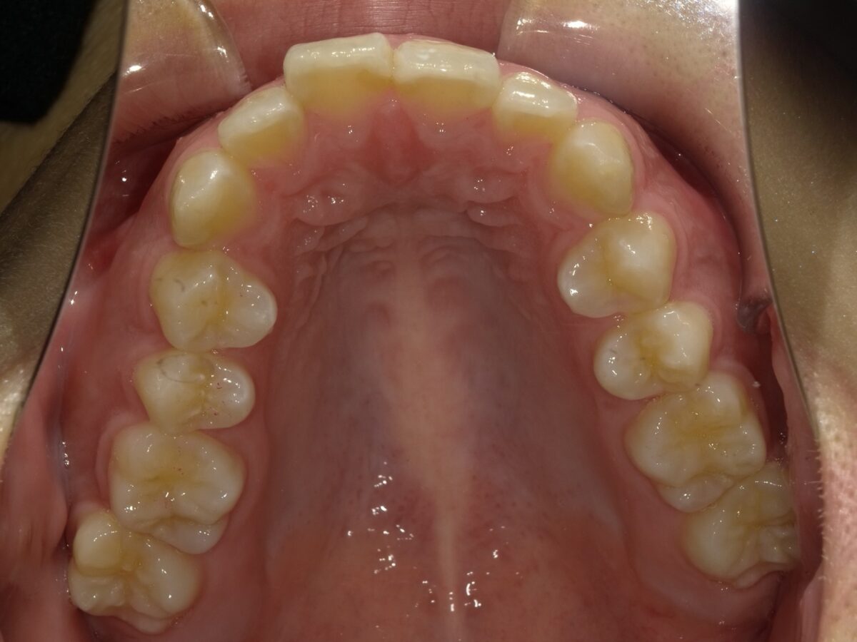
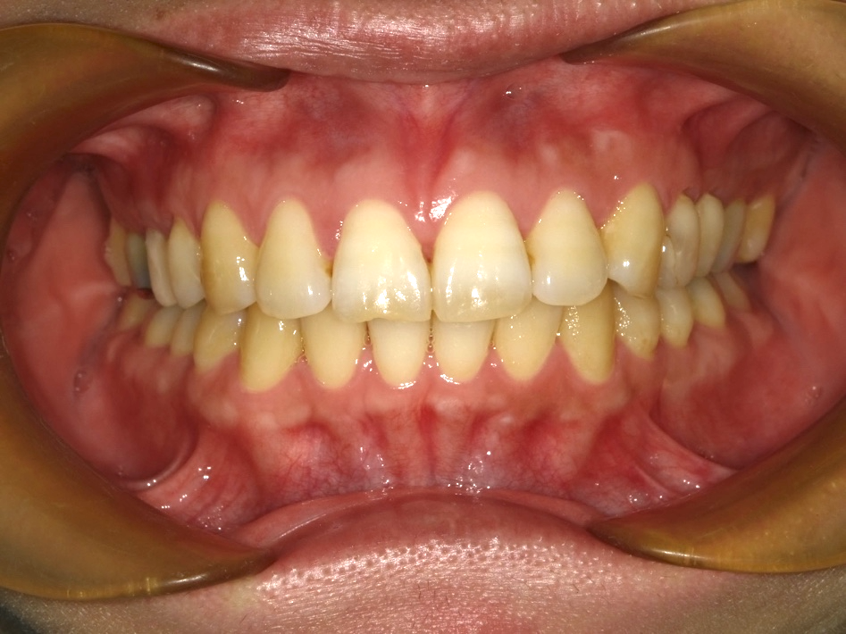
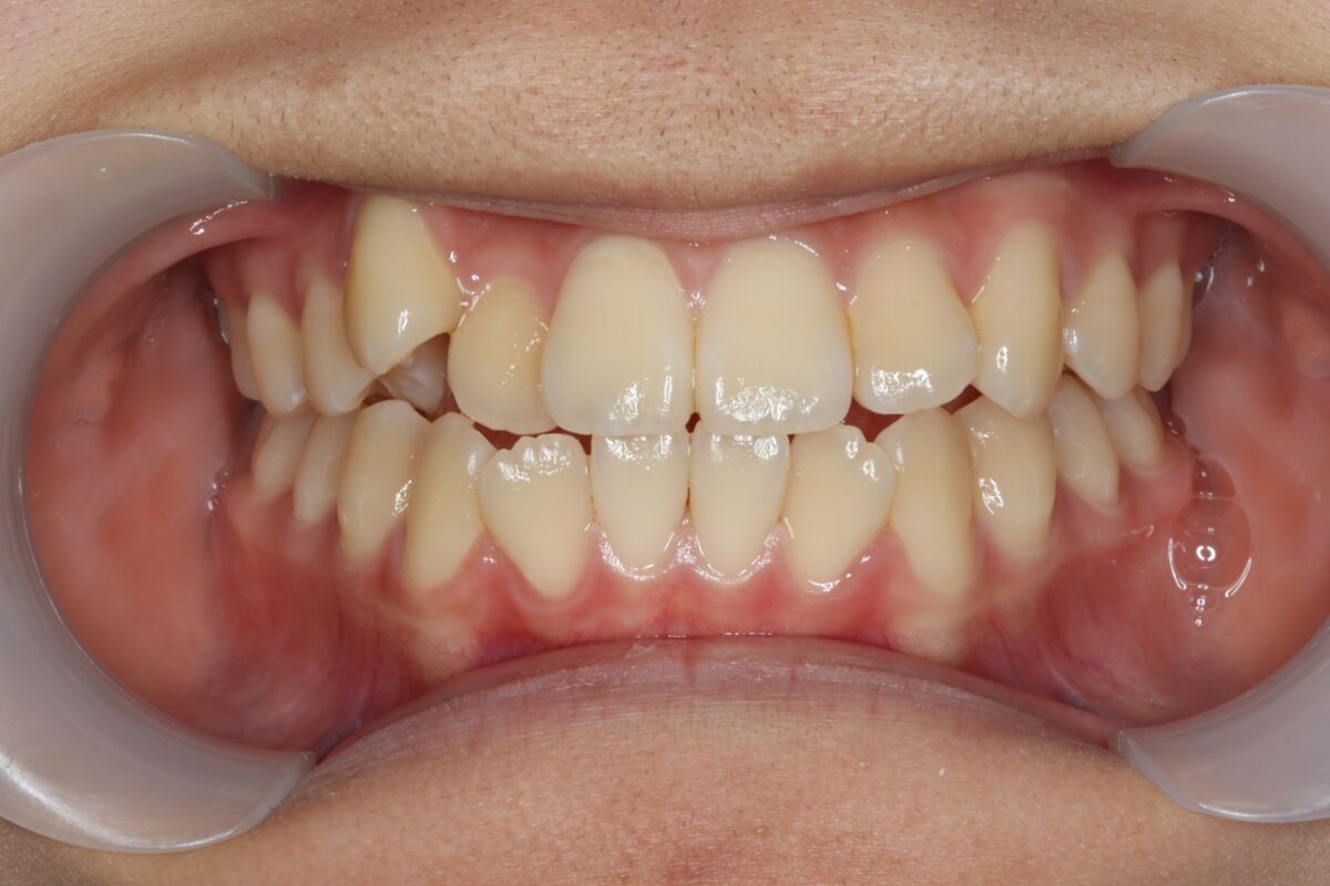
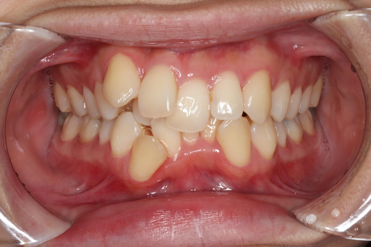
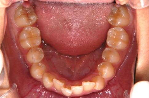
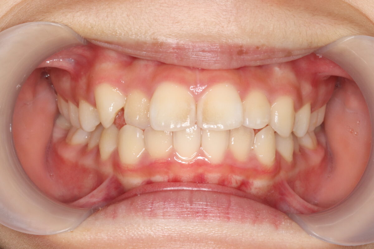
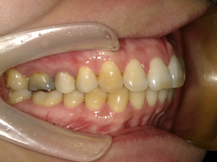
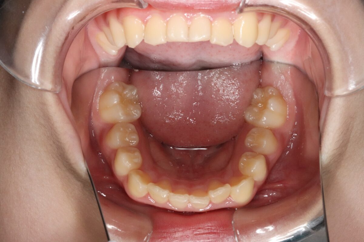
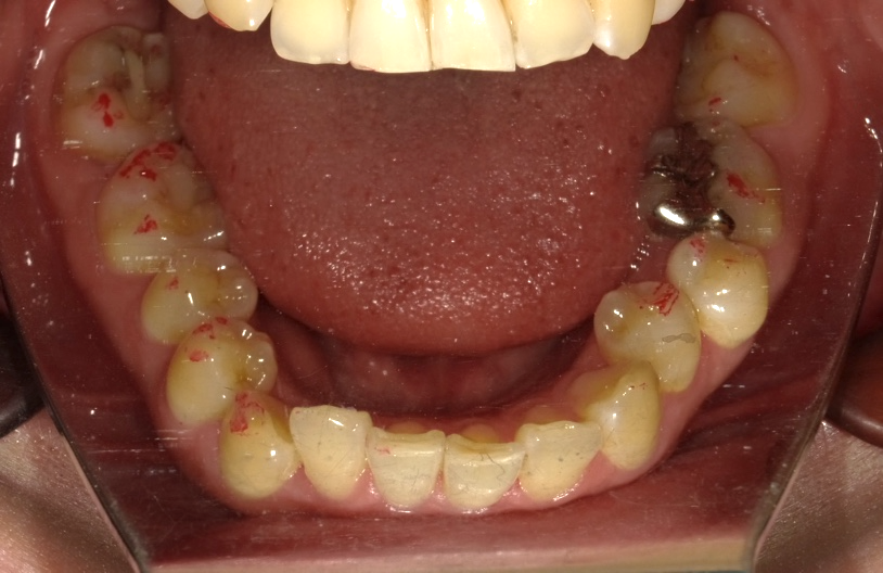
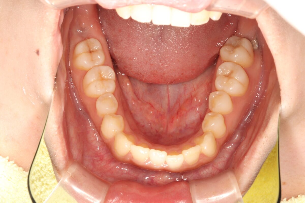
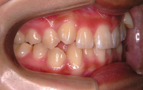
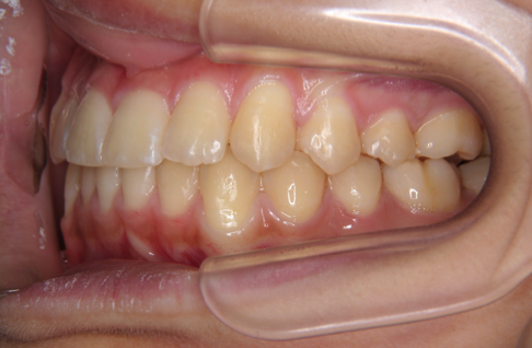
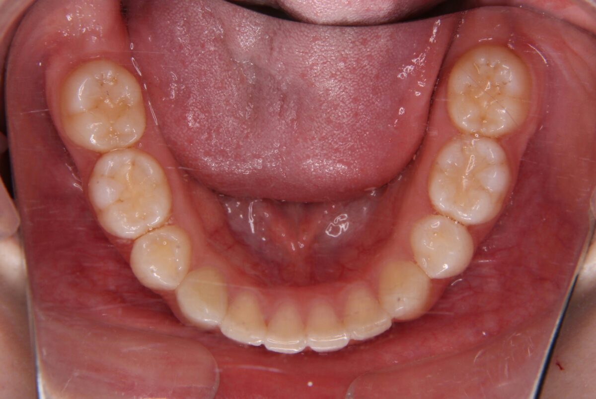
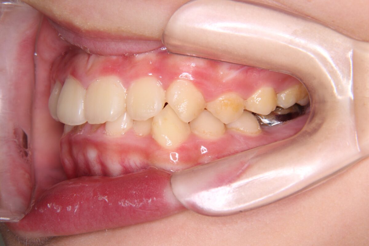
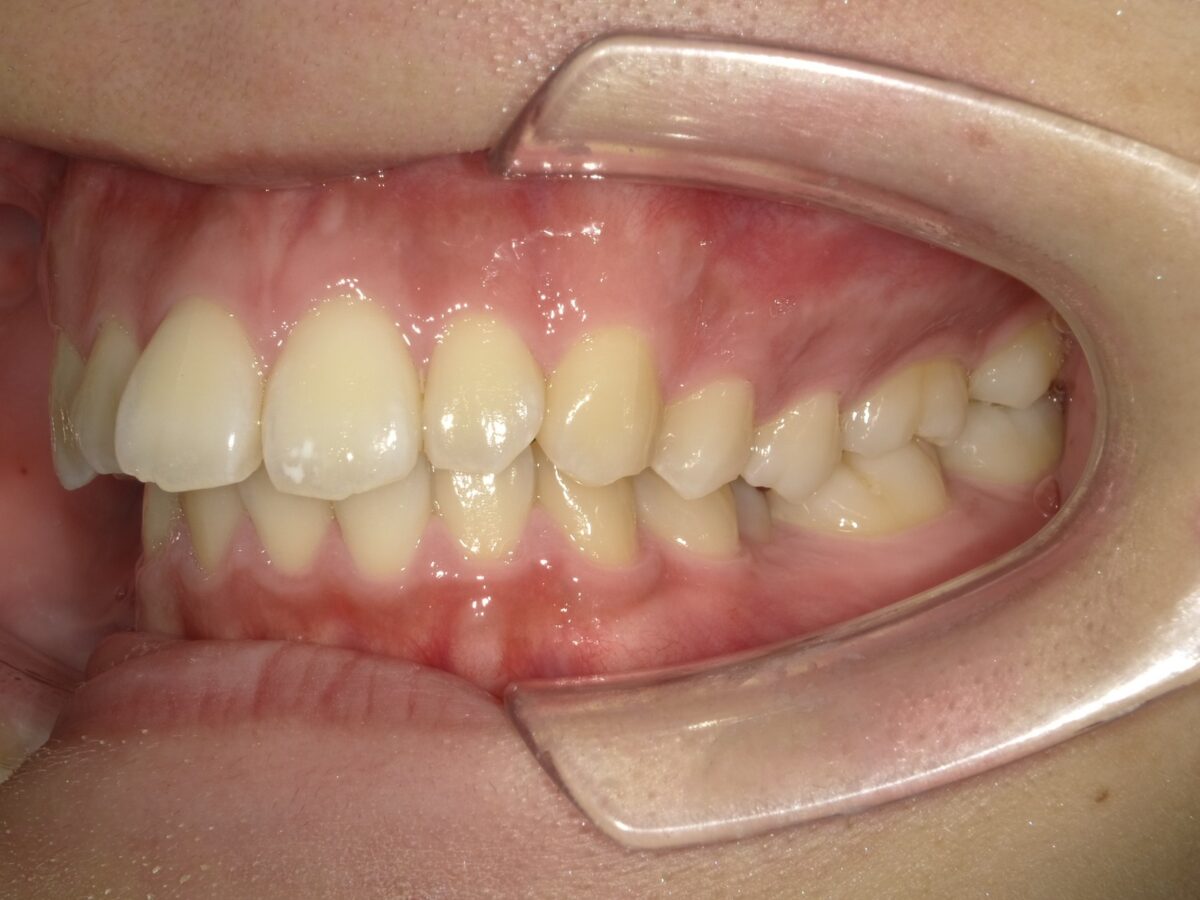
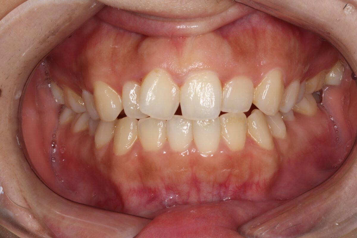
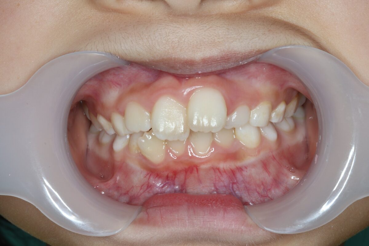
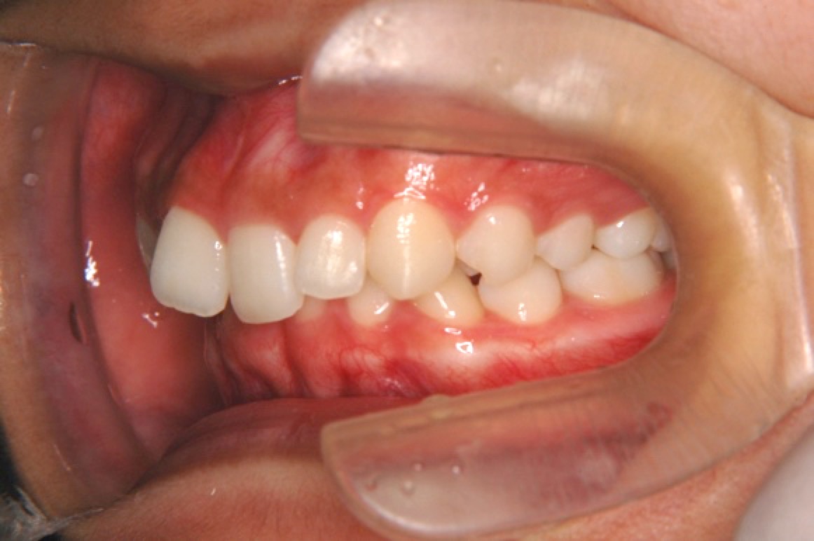
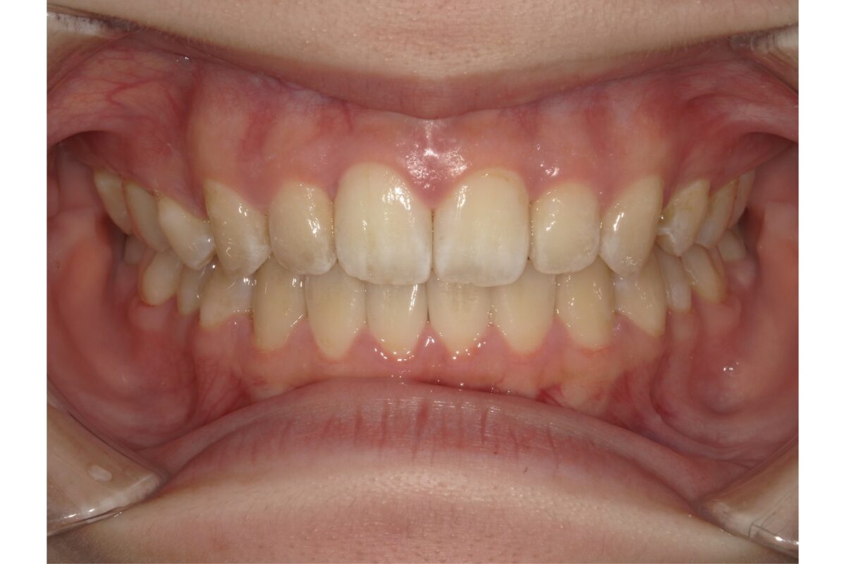
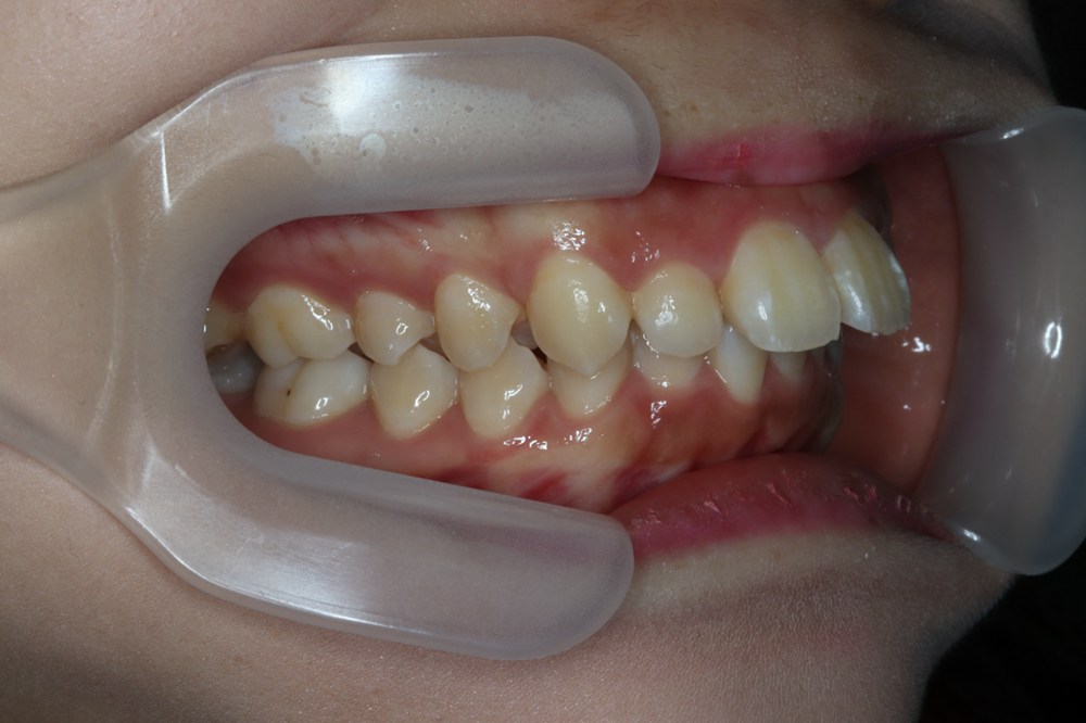
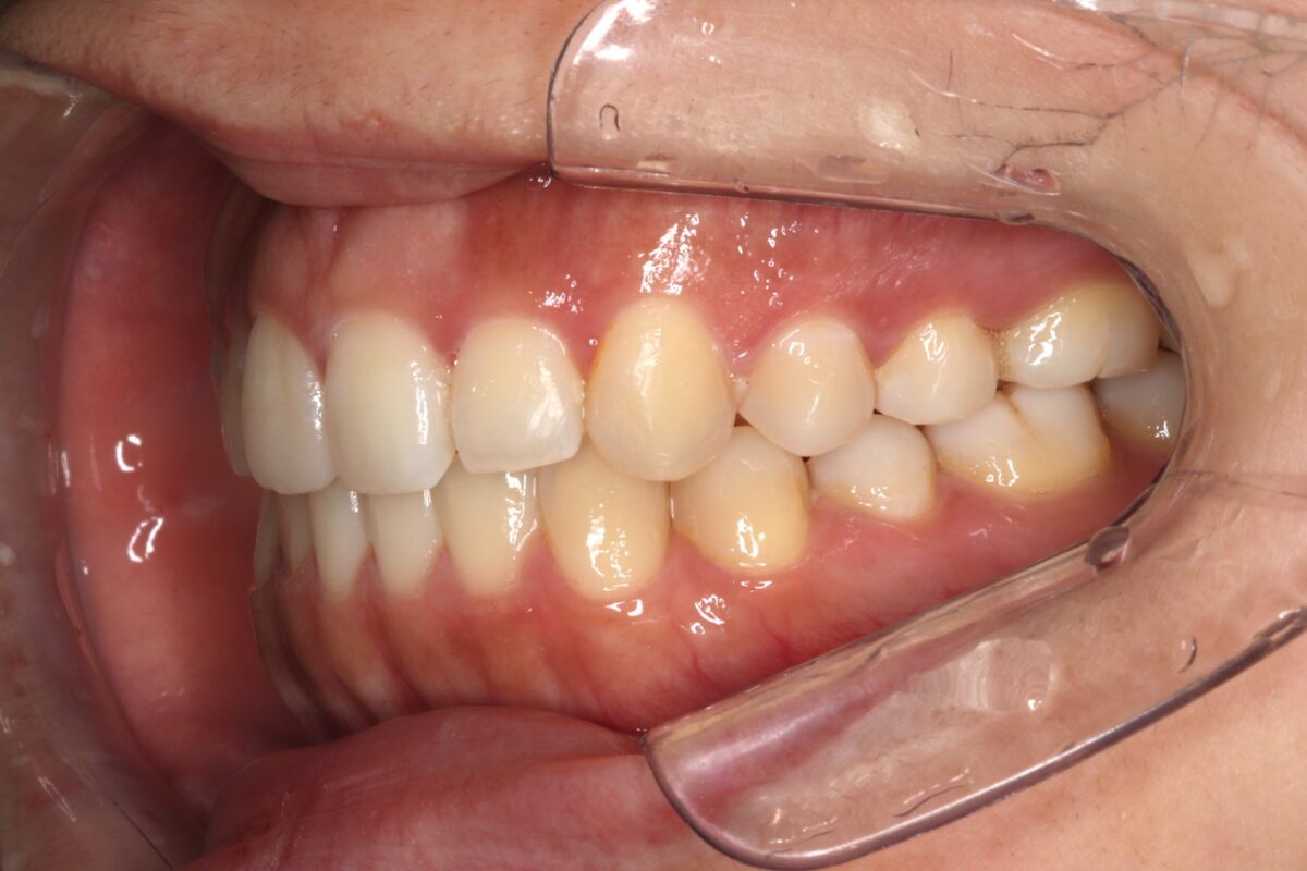
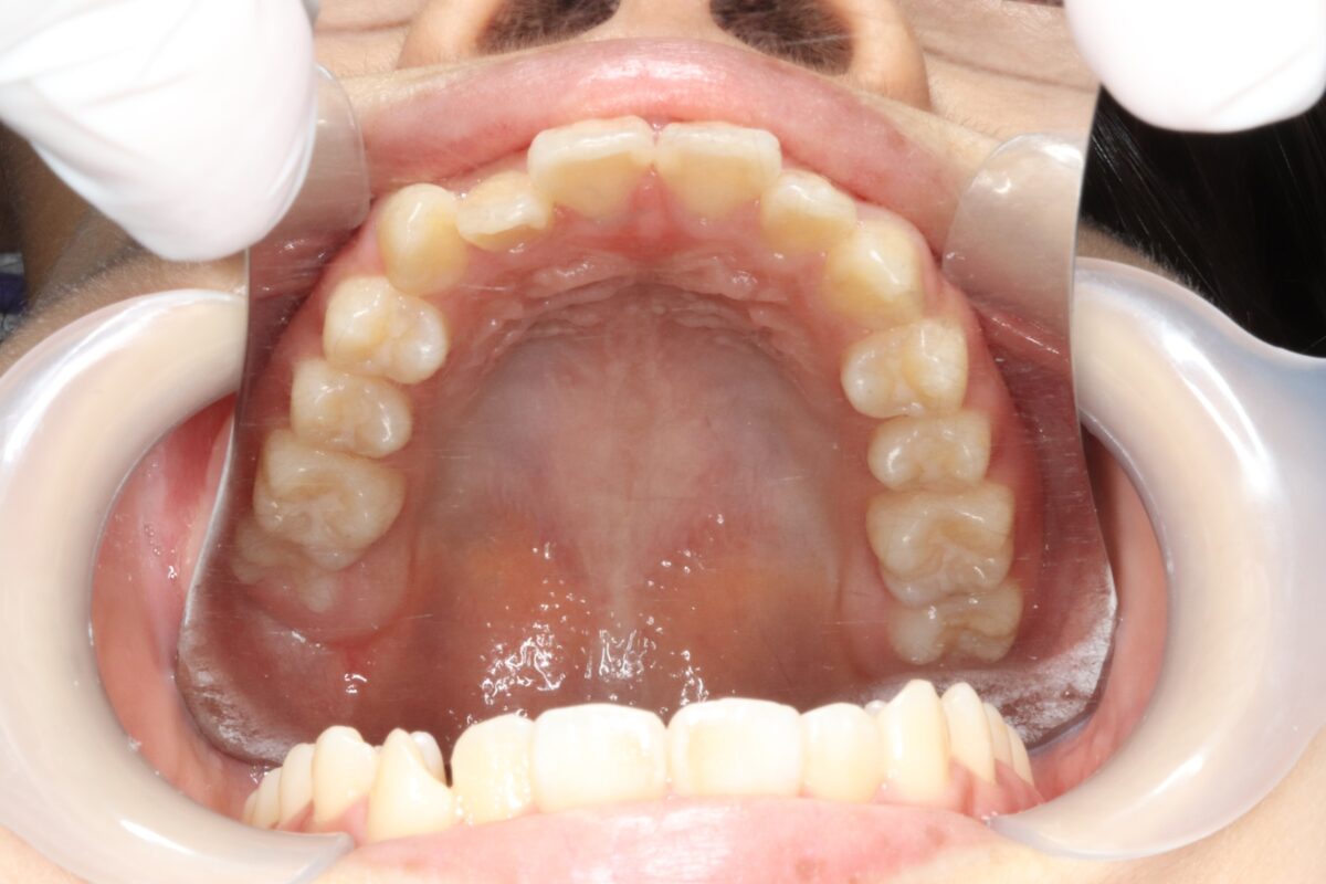
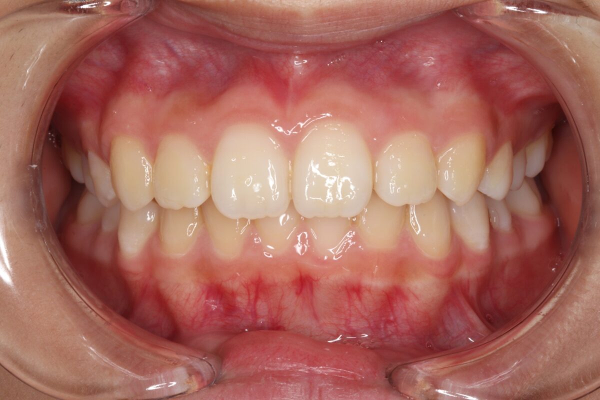
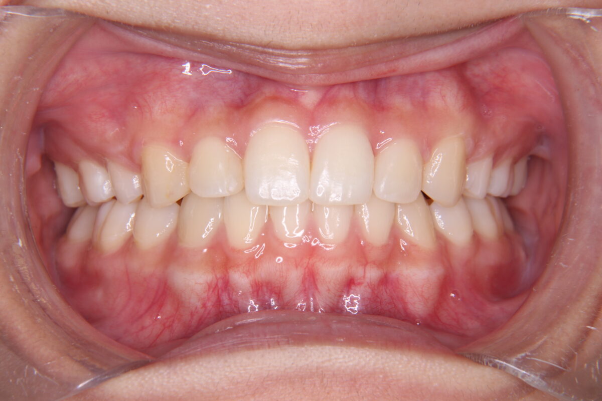
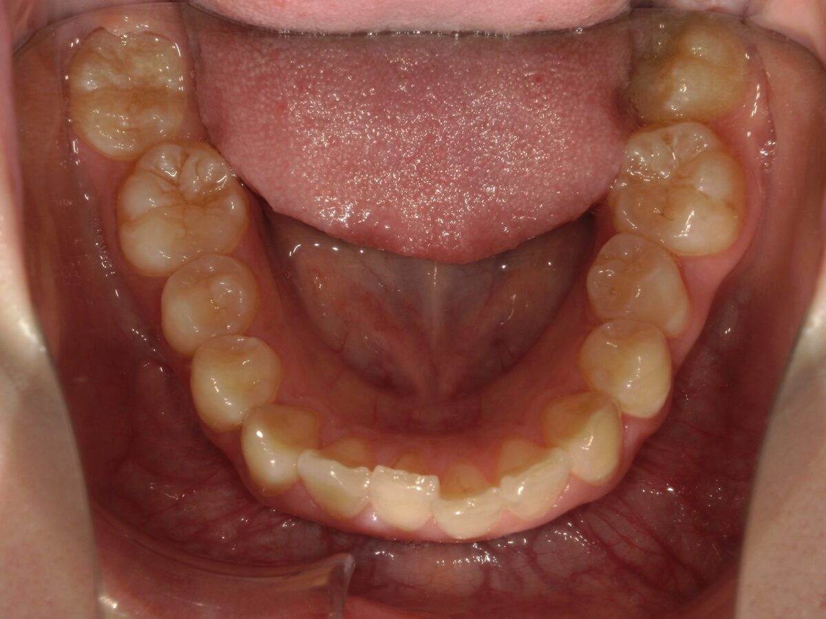
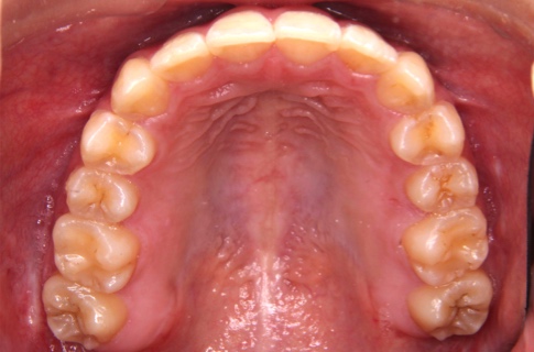
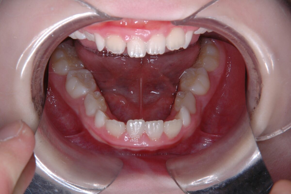
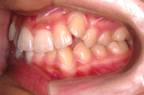
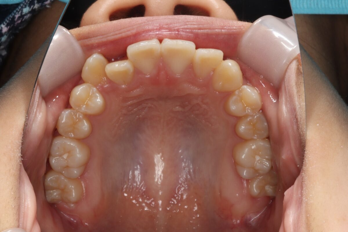
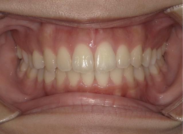
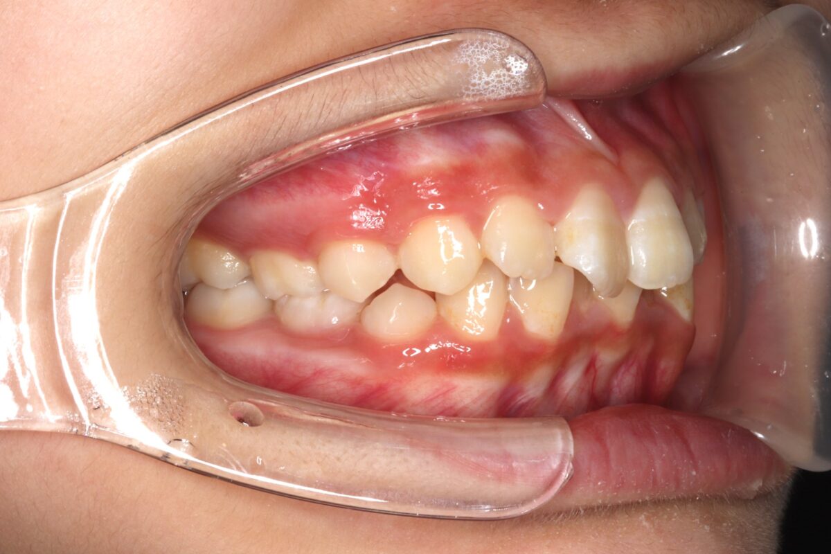
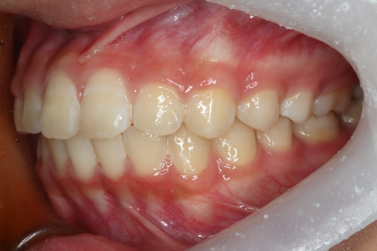
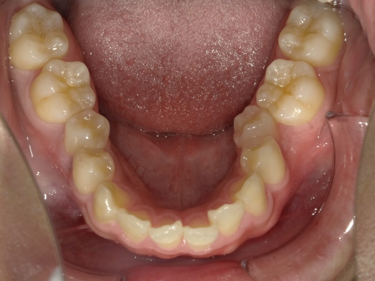
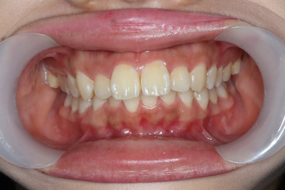
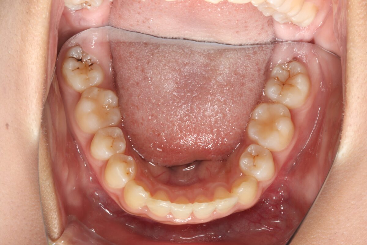
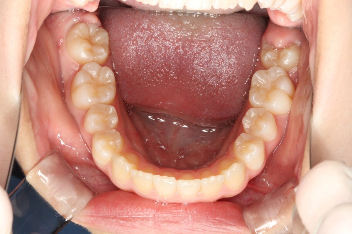
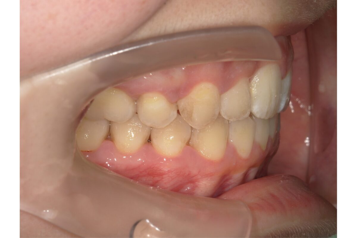
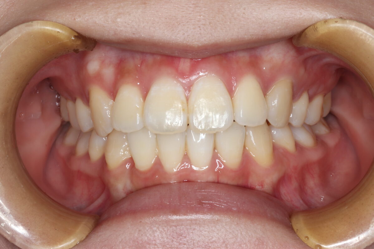
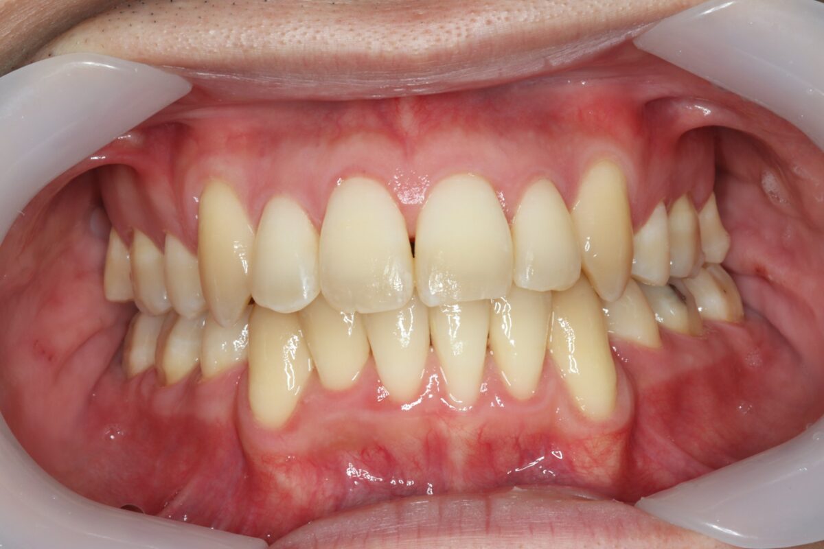
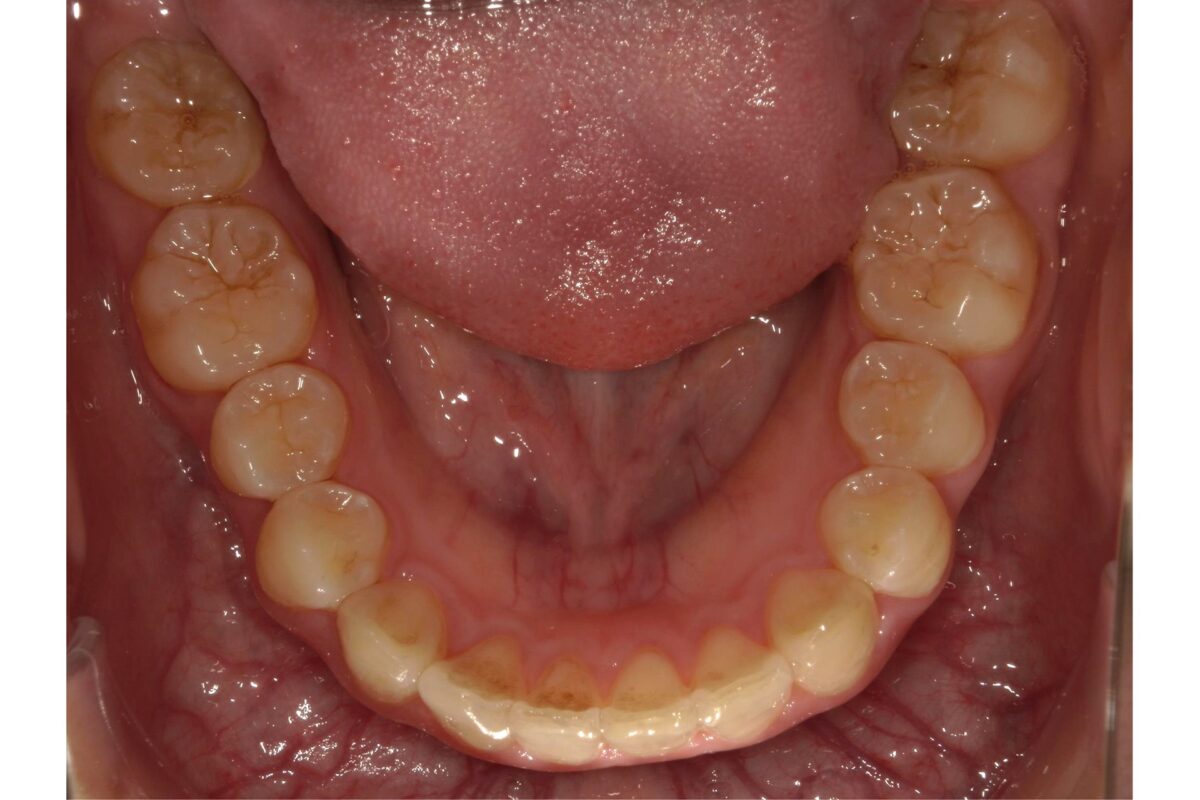
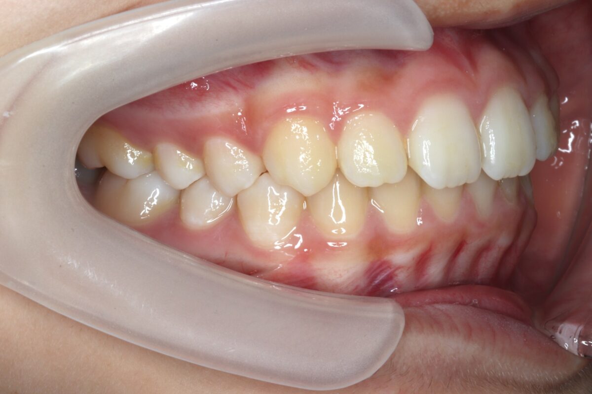
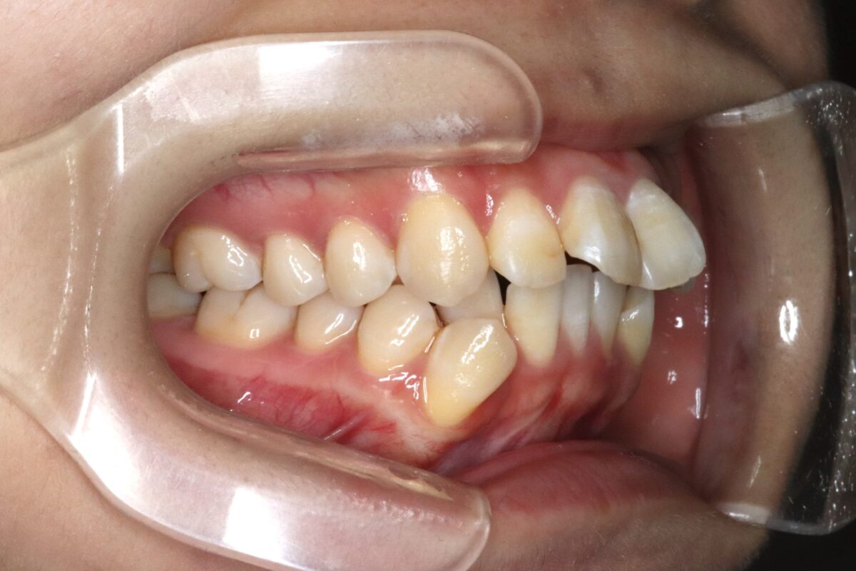
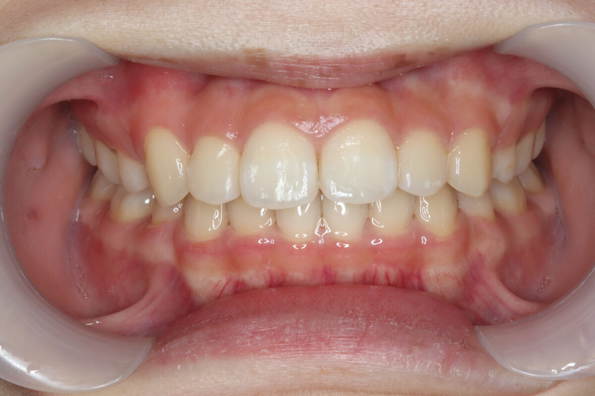
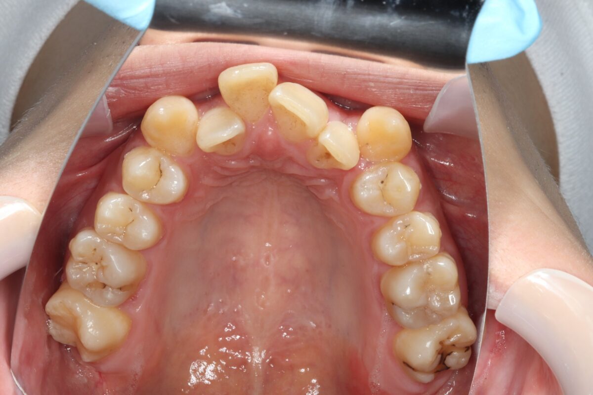
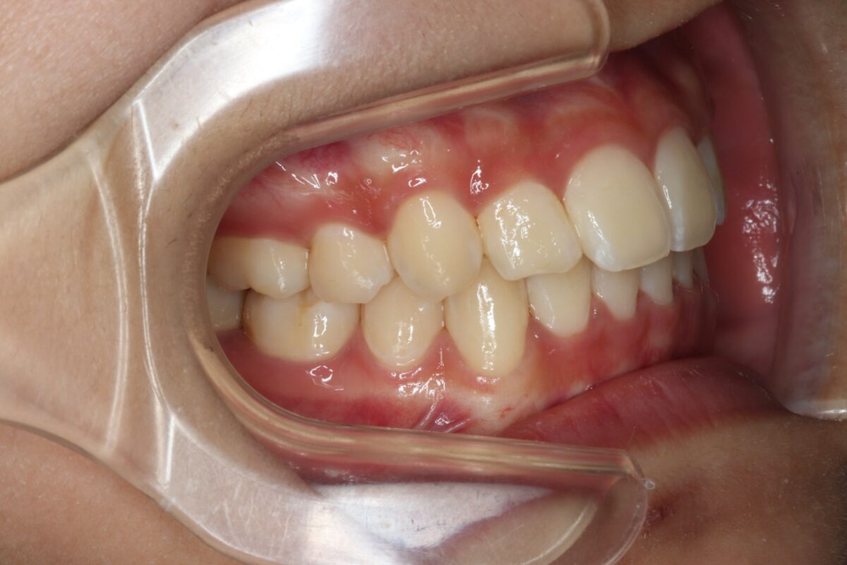
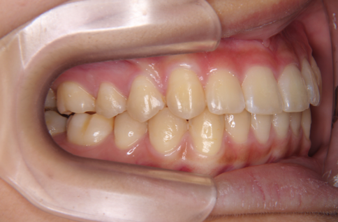
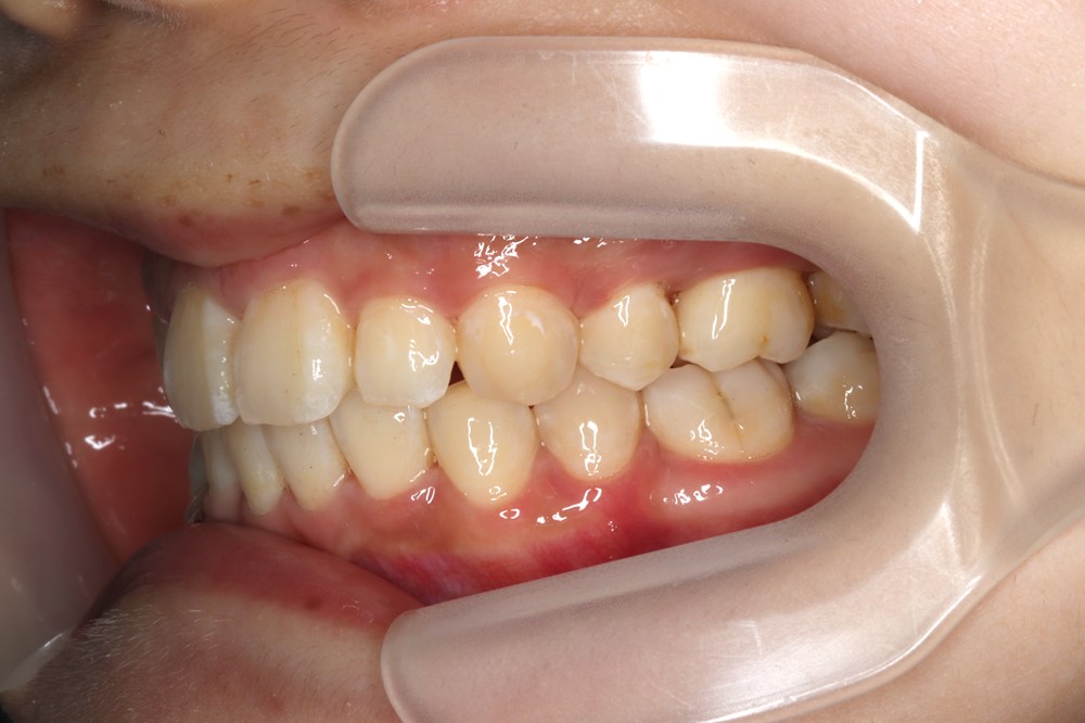
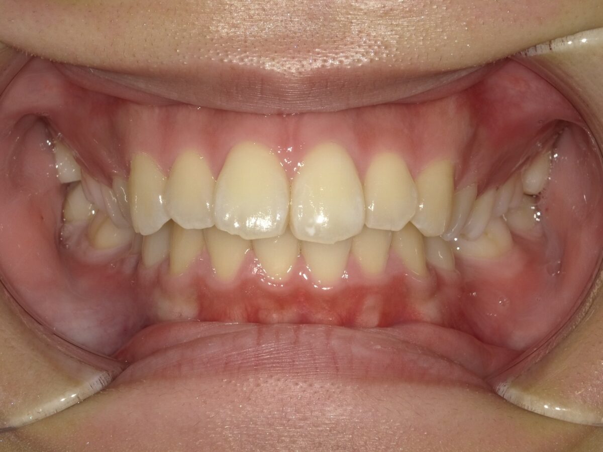
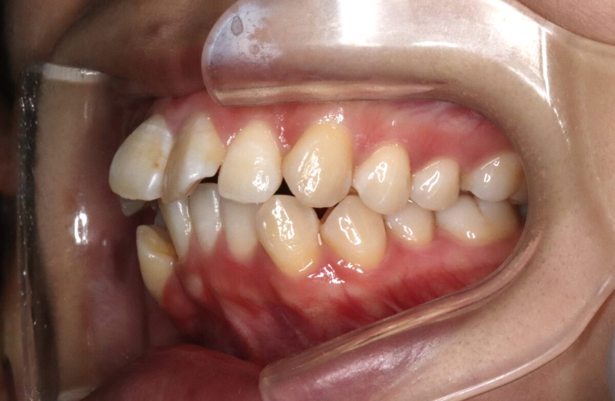
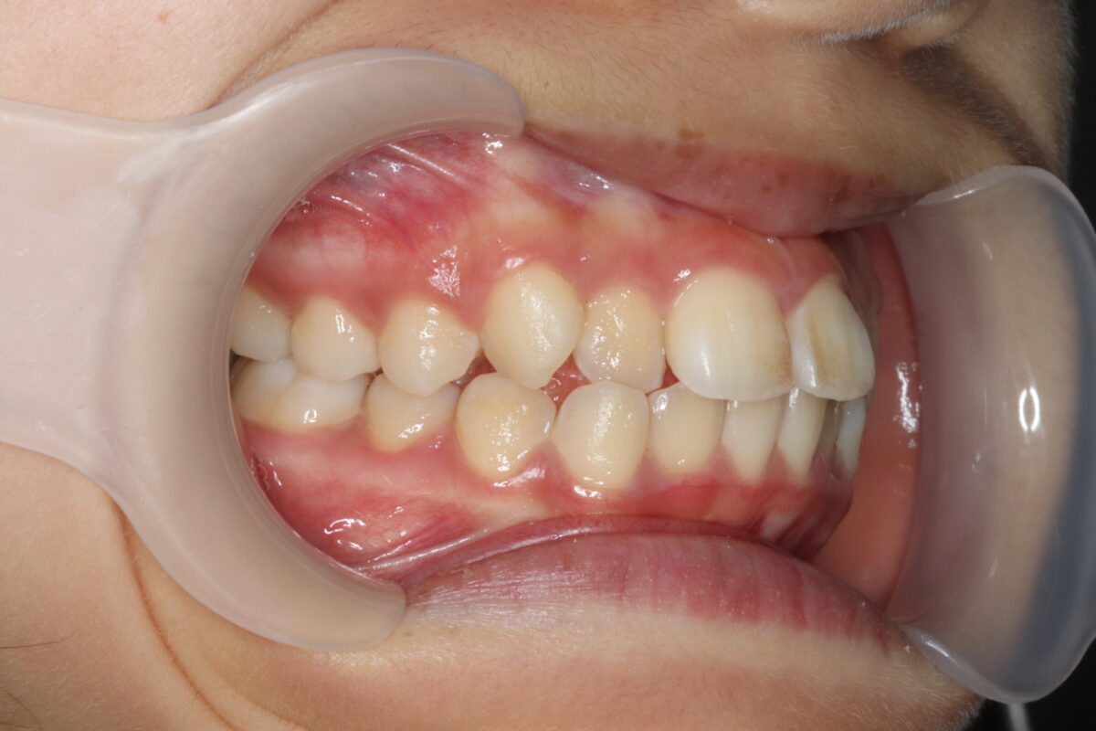
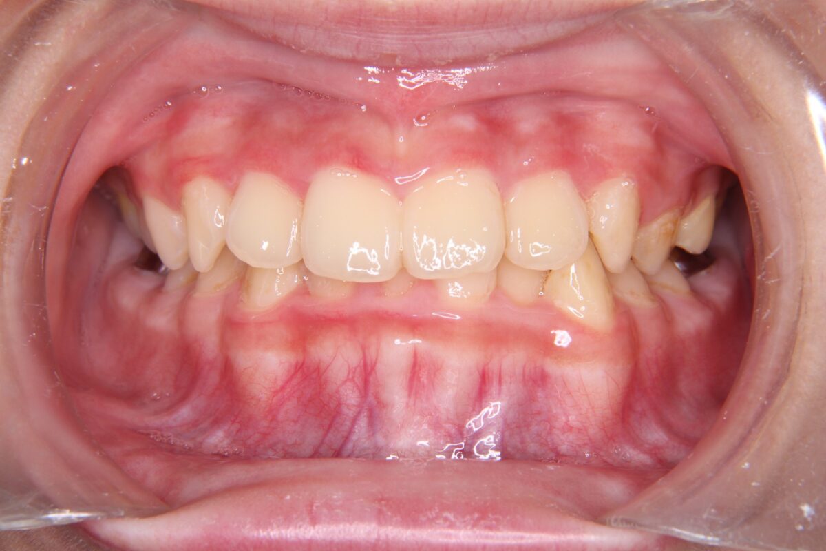
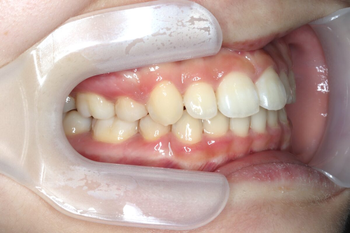
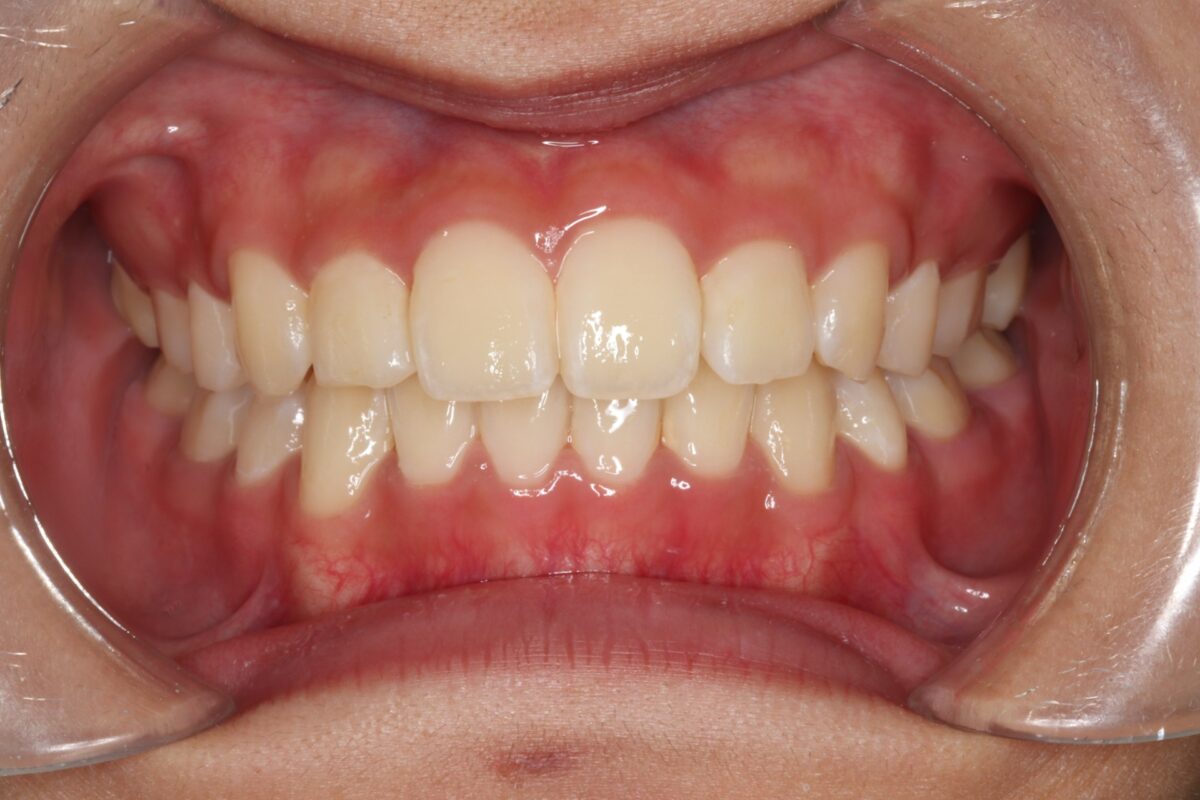
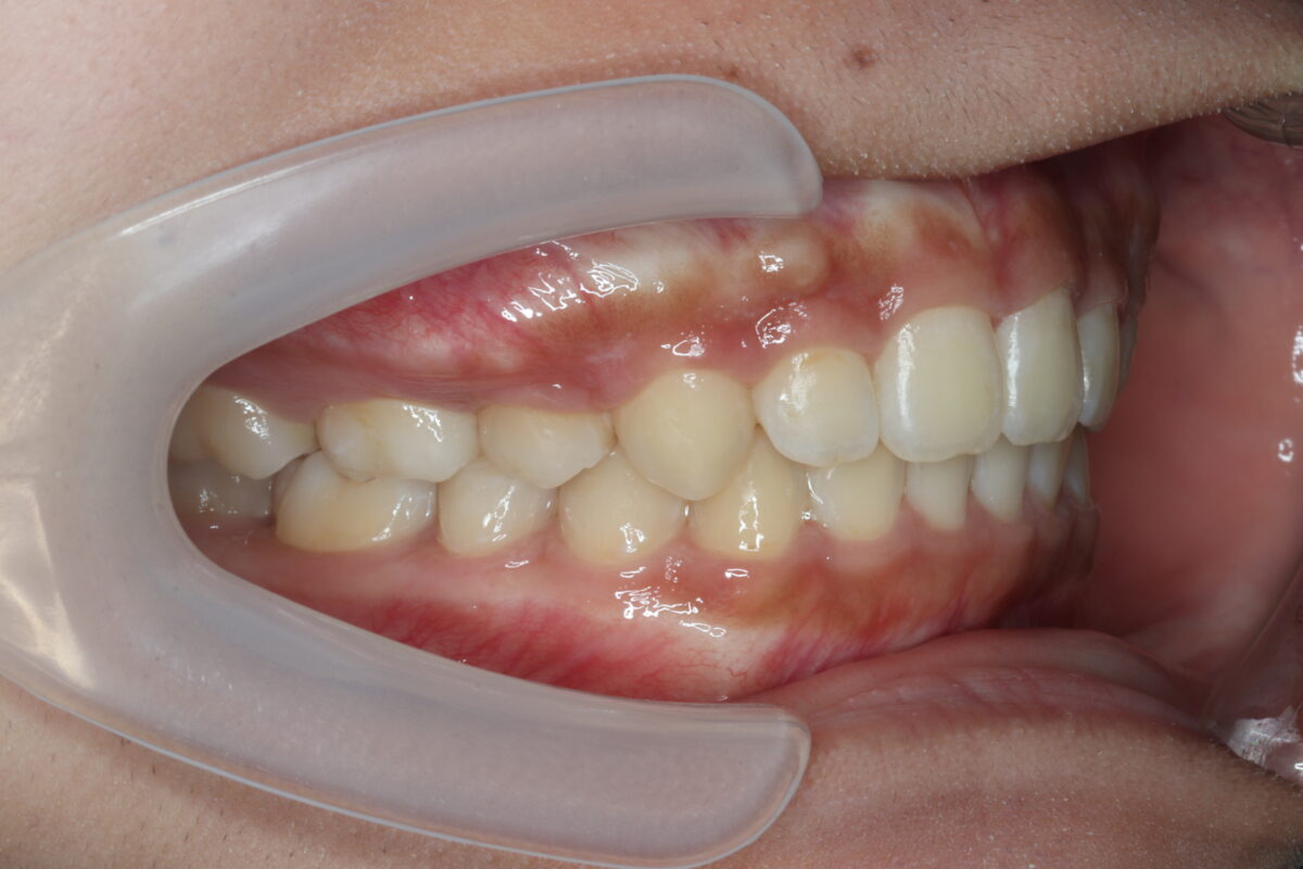
歯並びが悪い(不正咬合)
医院紹介
医院情報
院長紹介
設備紹介
診療時間
アクセス
院内紹介
当院の特徴
治療費用
CLOSE
準備中
WEB
予約
LINE
での
お問い
合わせ
WEB
問診
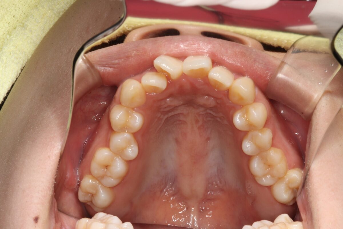
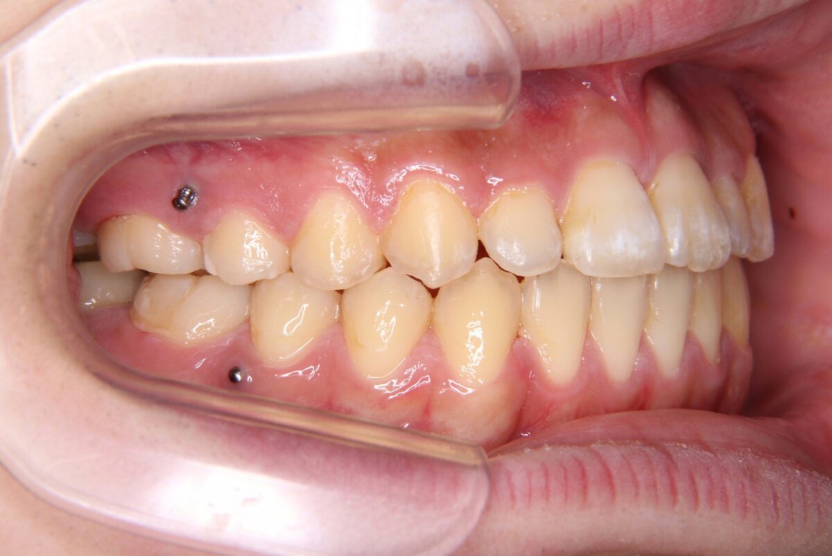
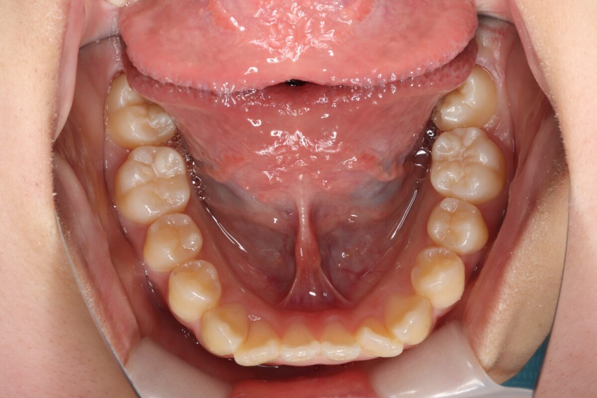
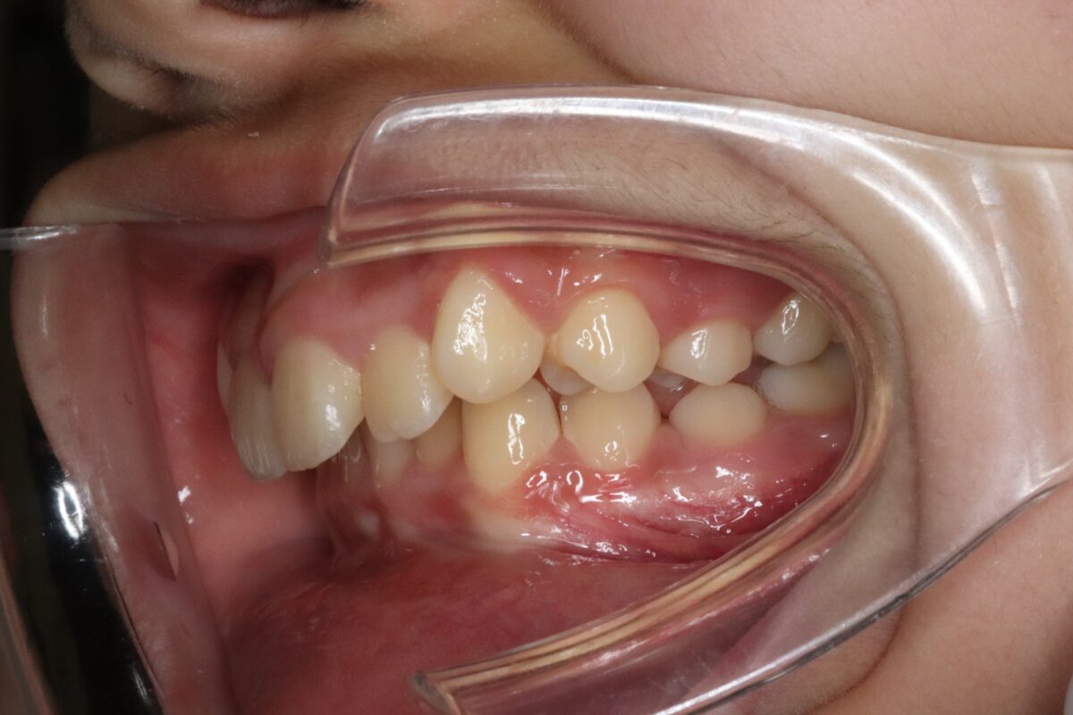
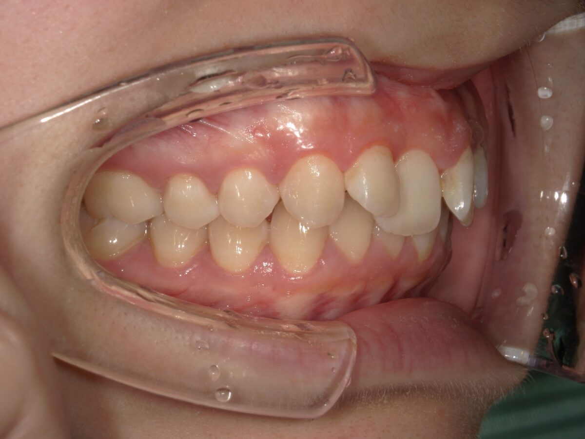
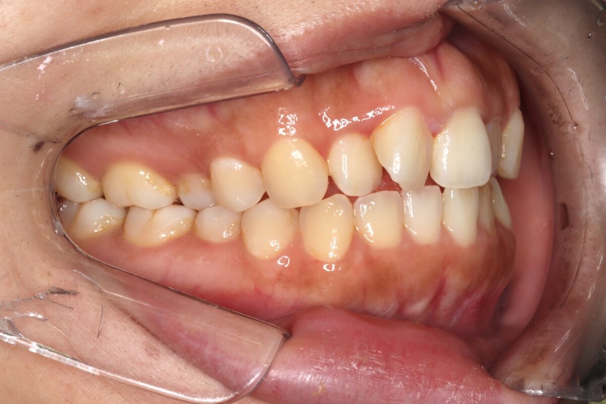
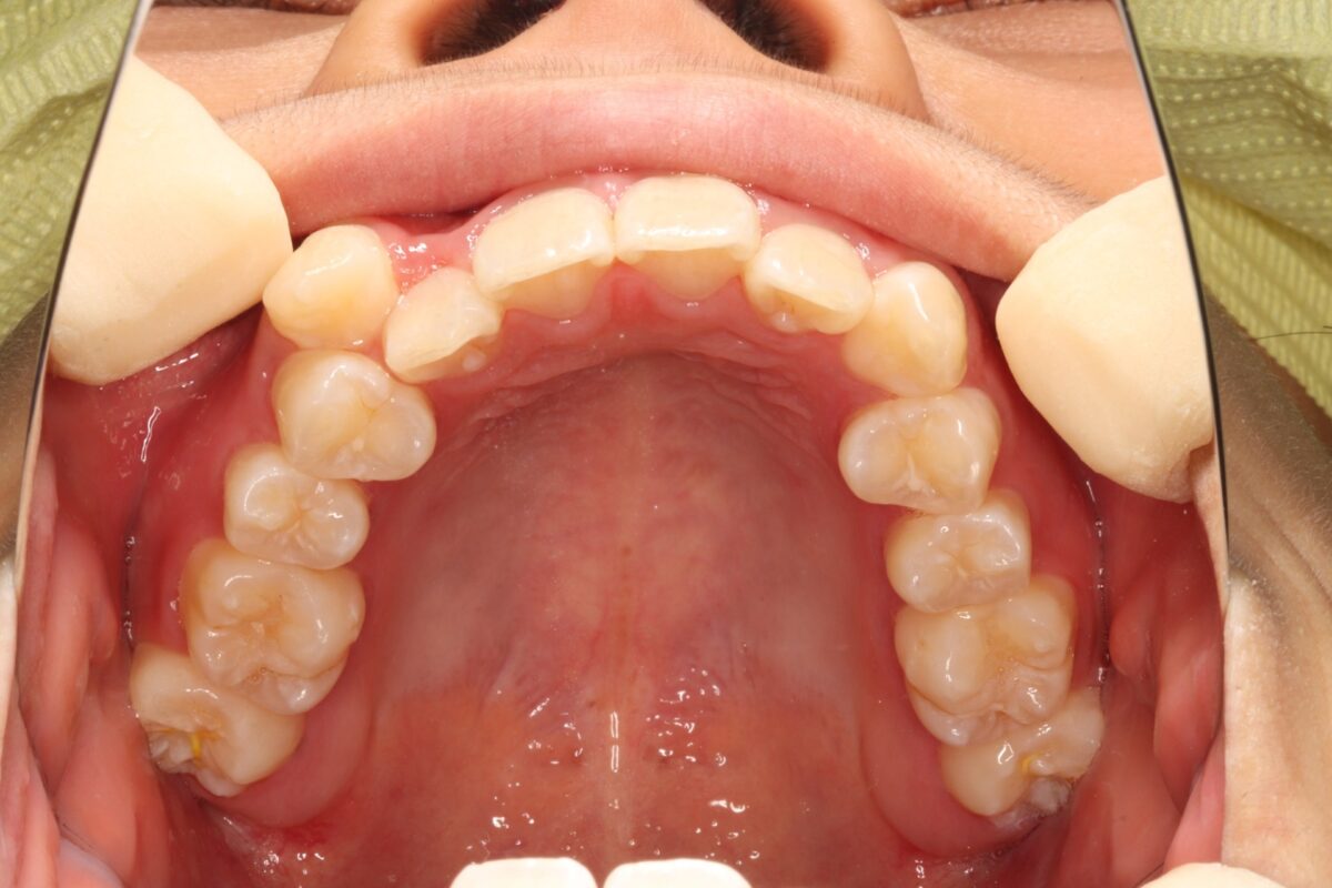
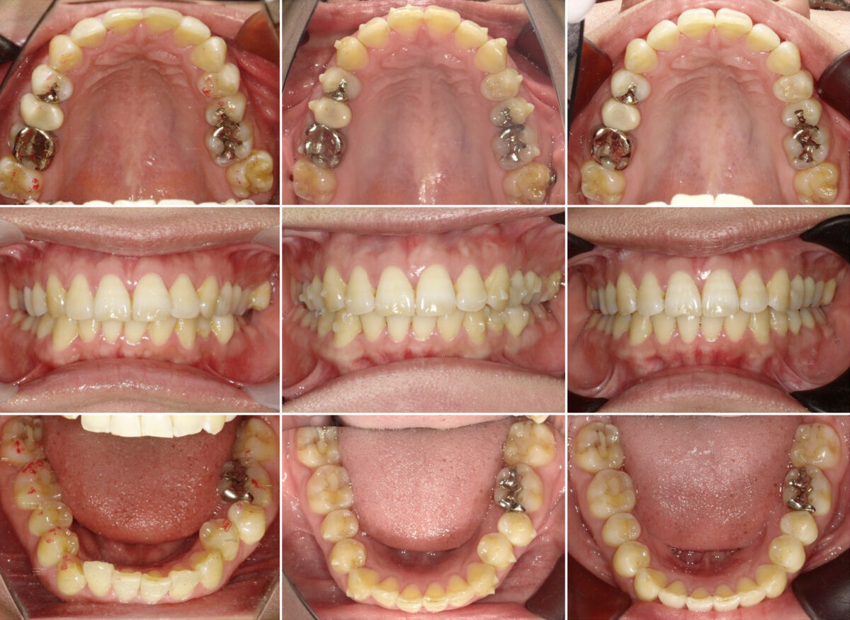
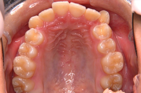
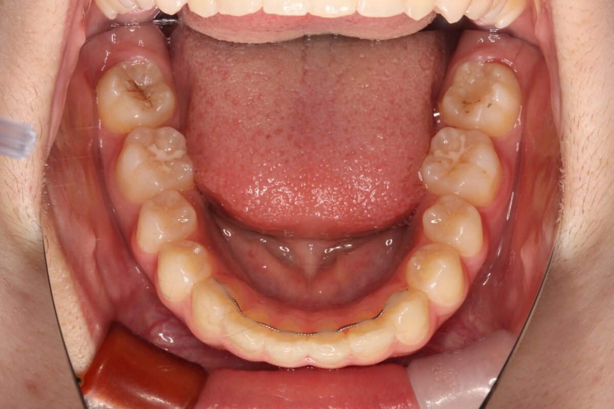
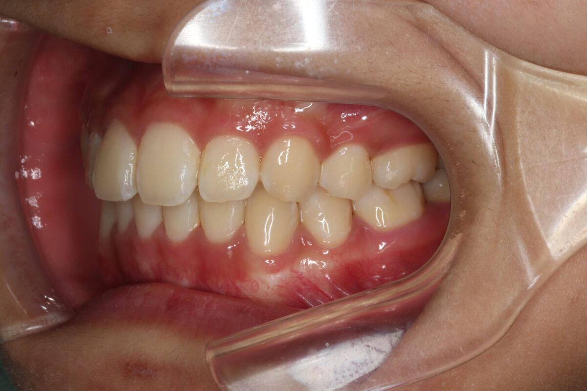
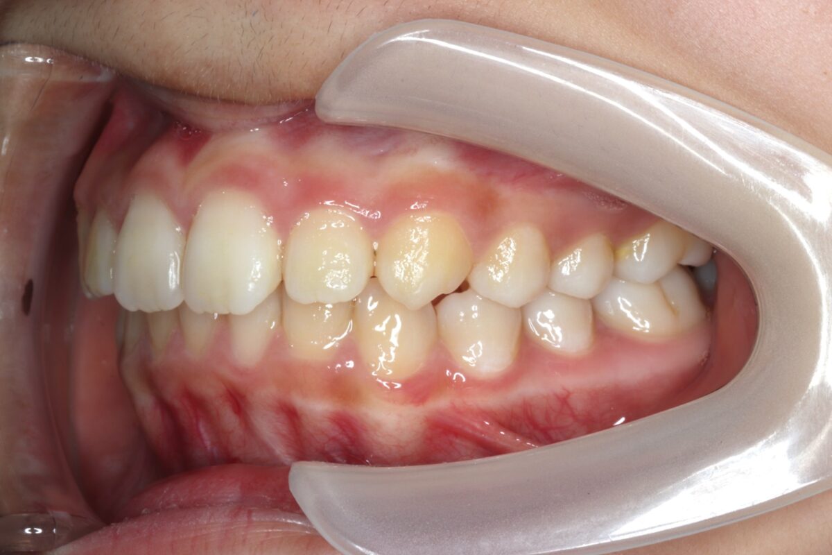
症例
ホーム
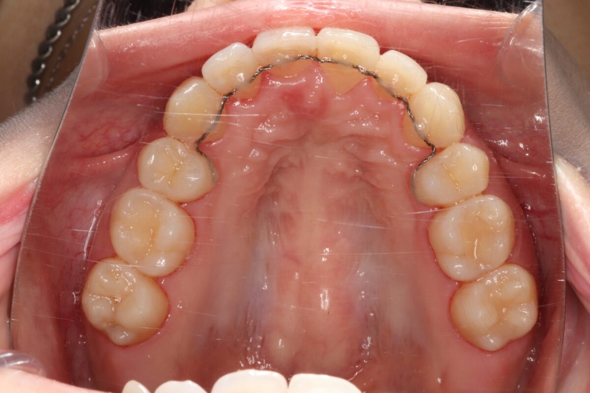
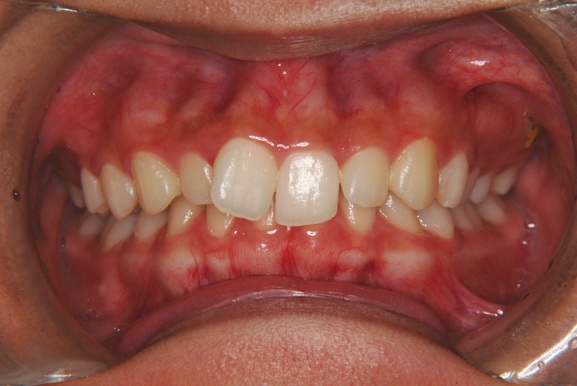
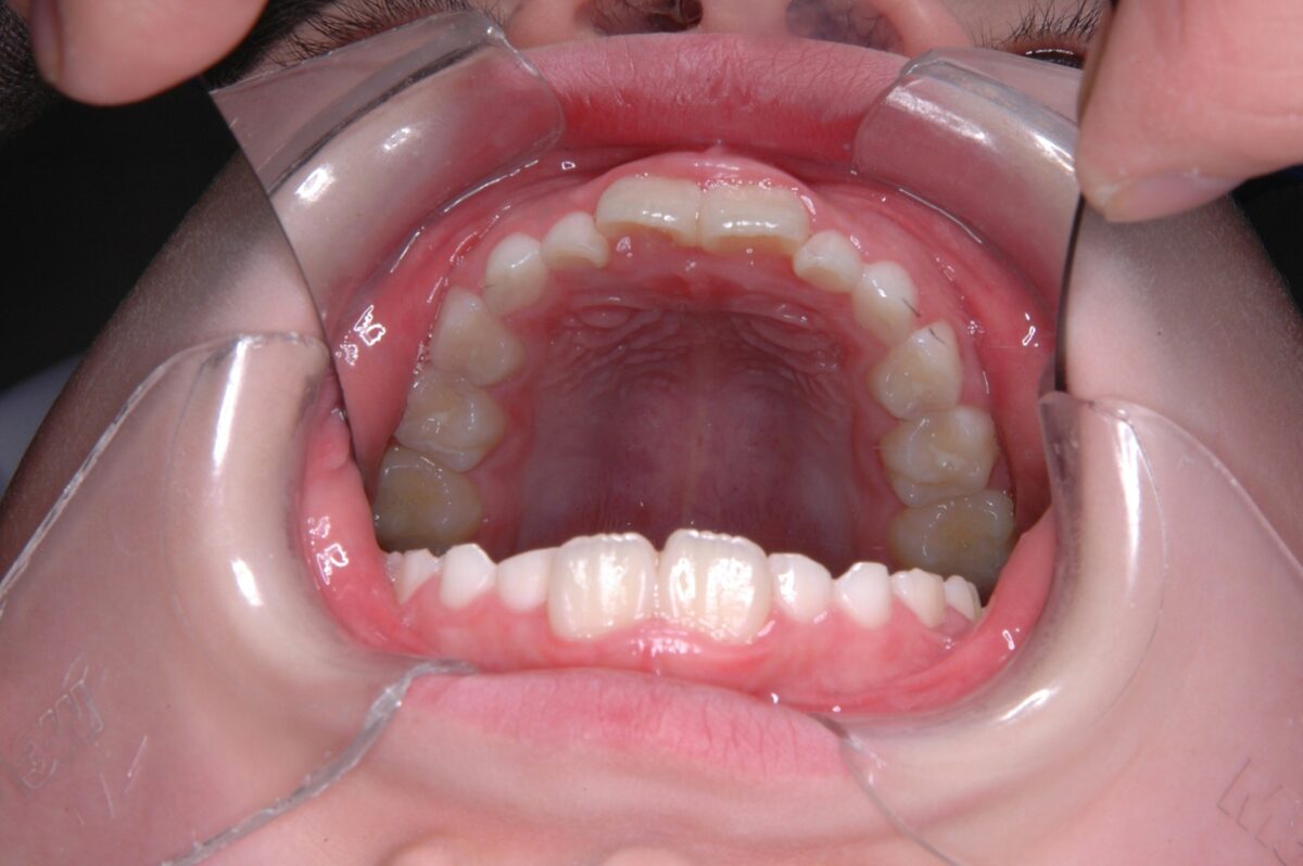
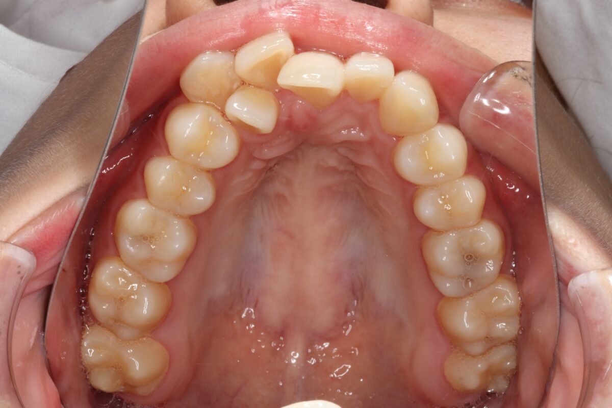
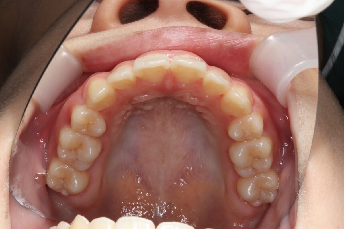
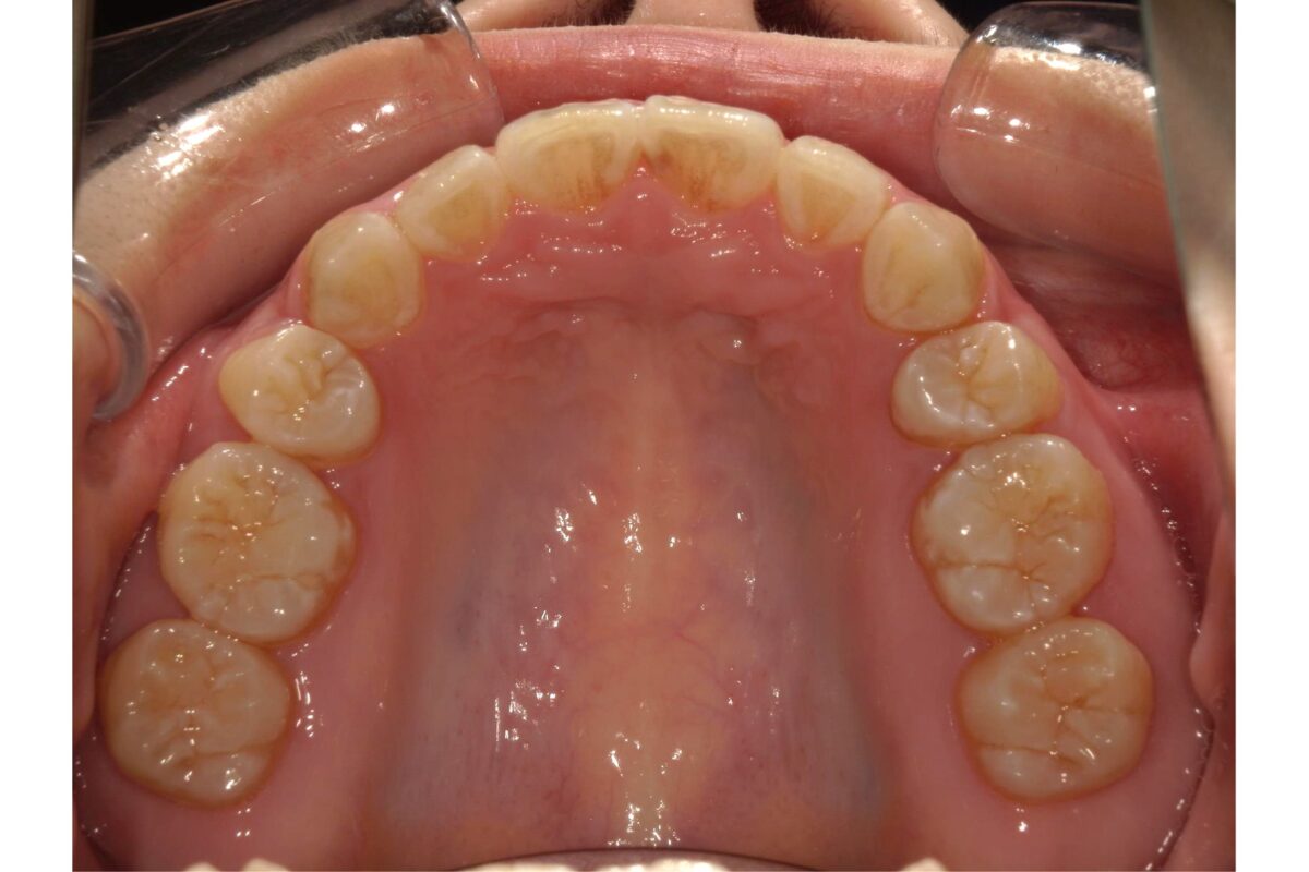
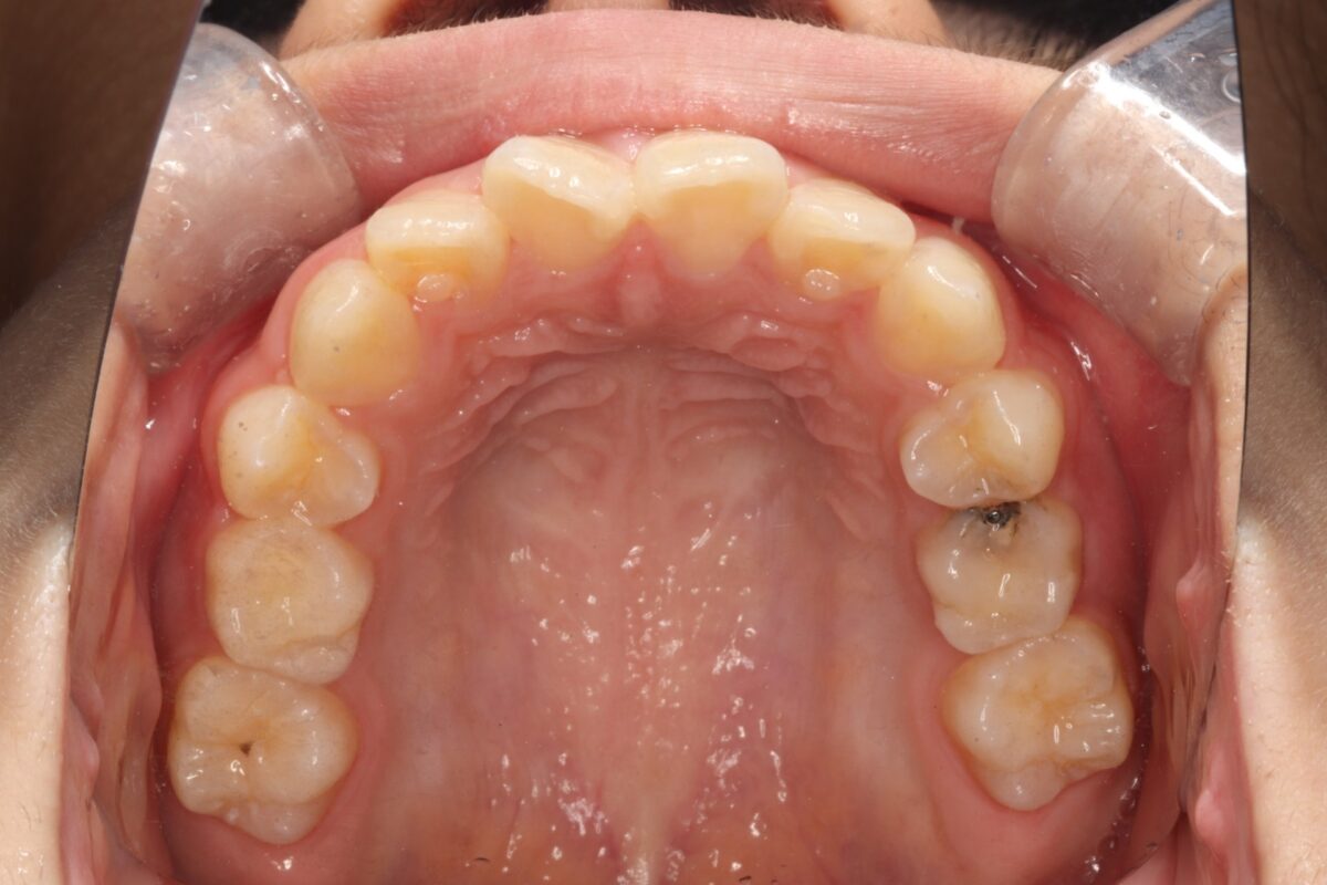
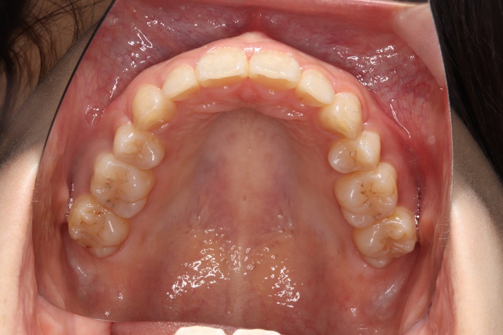
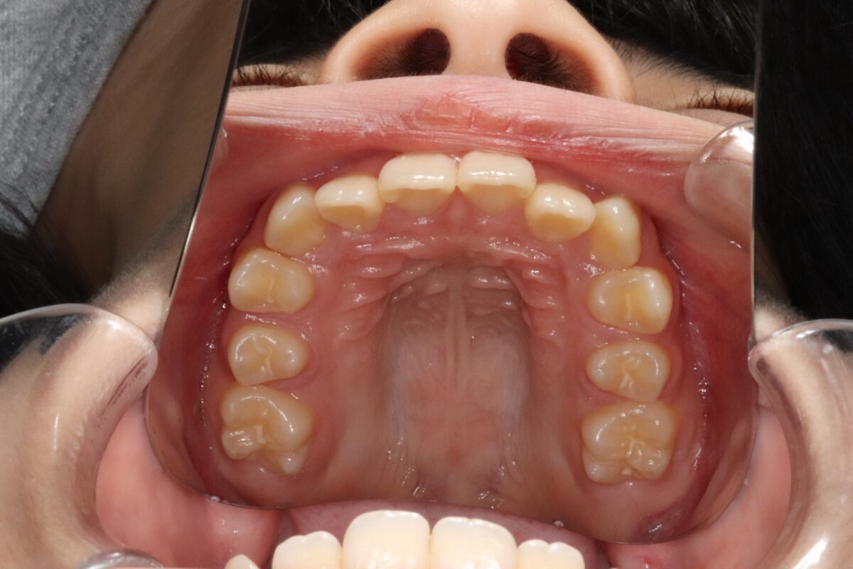
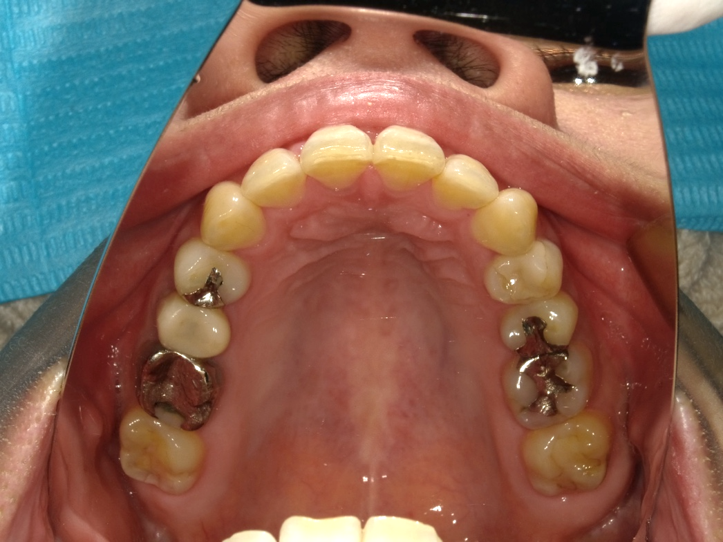
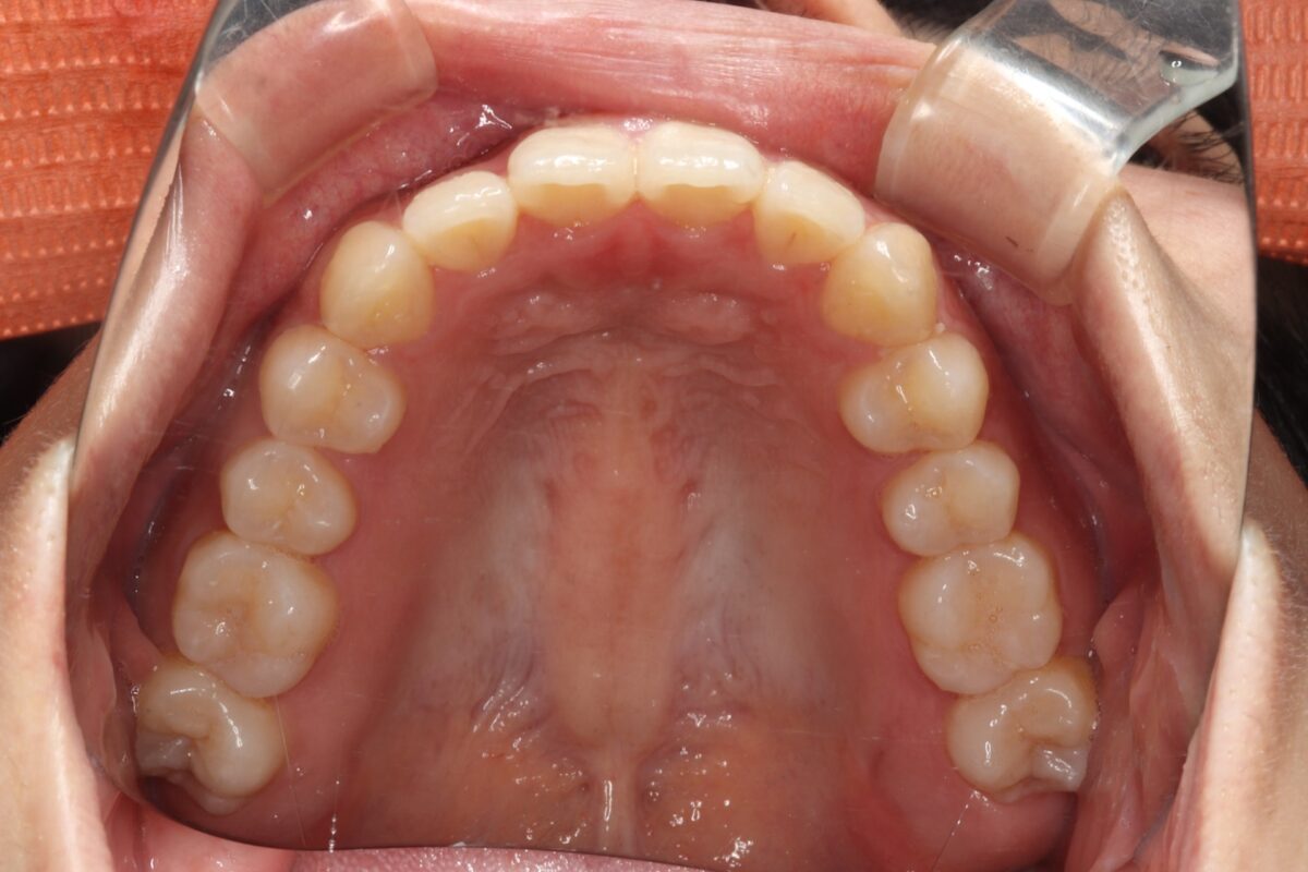
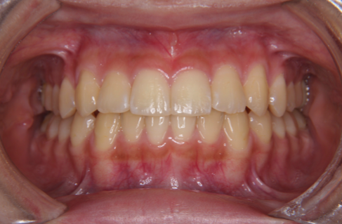
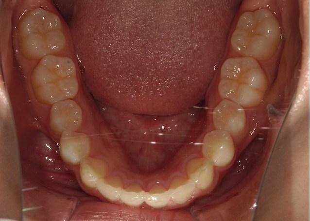
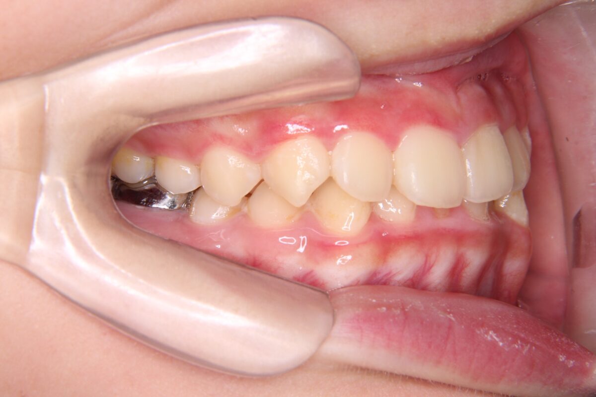
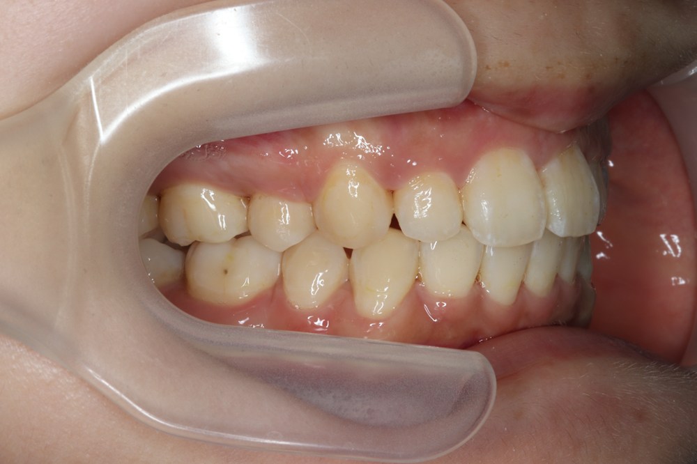
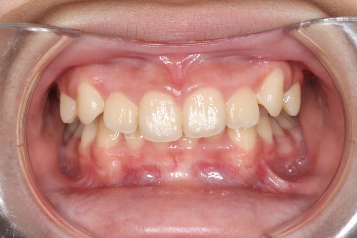
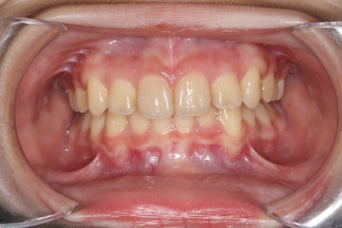
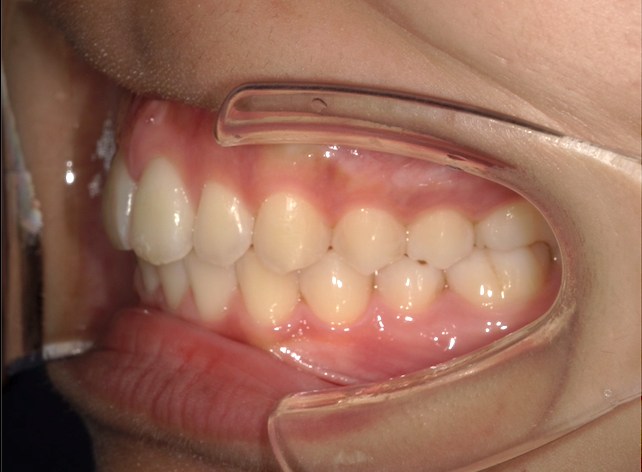
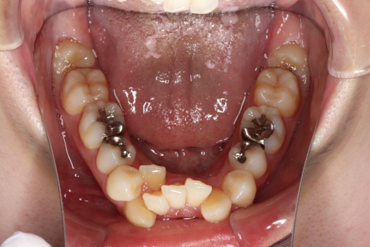
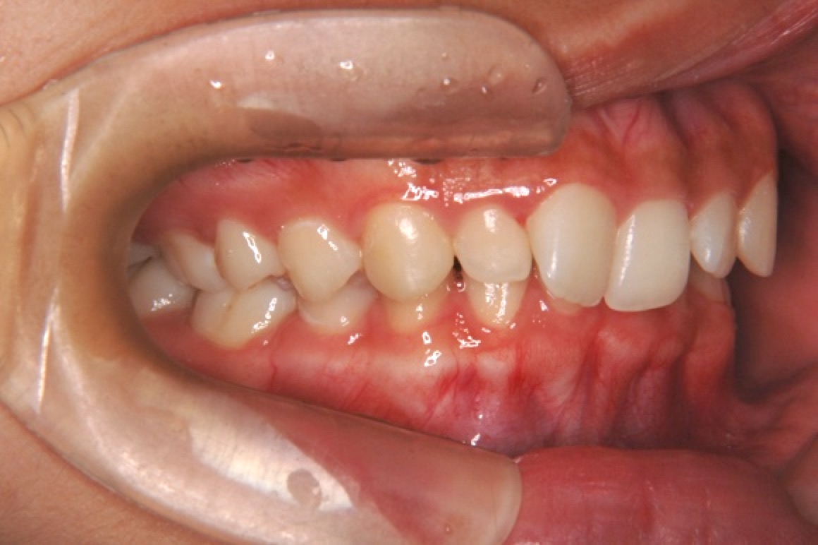
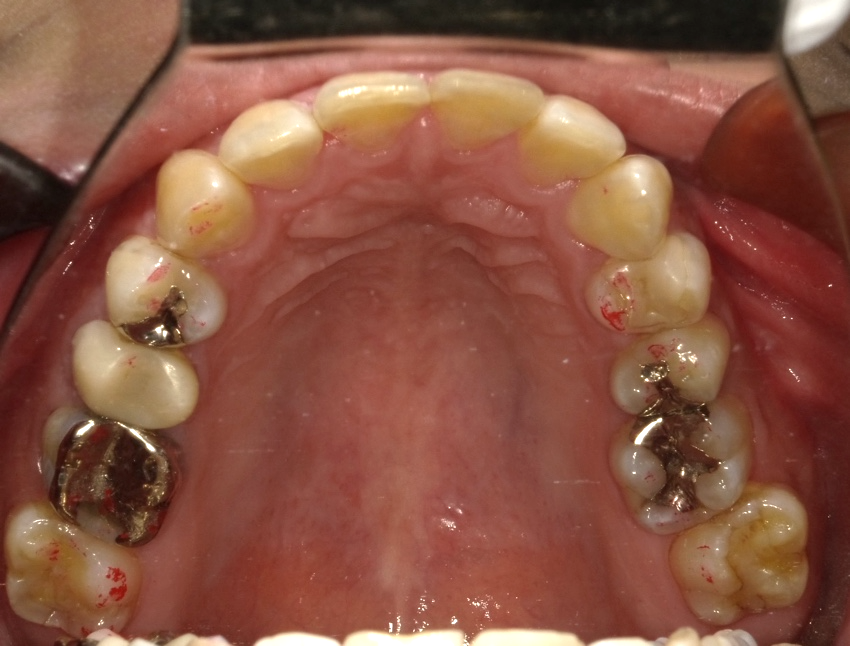
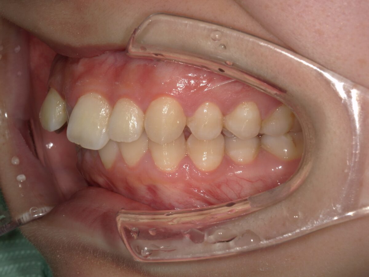
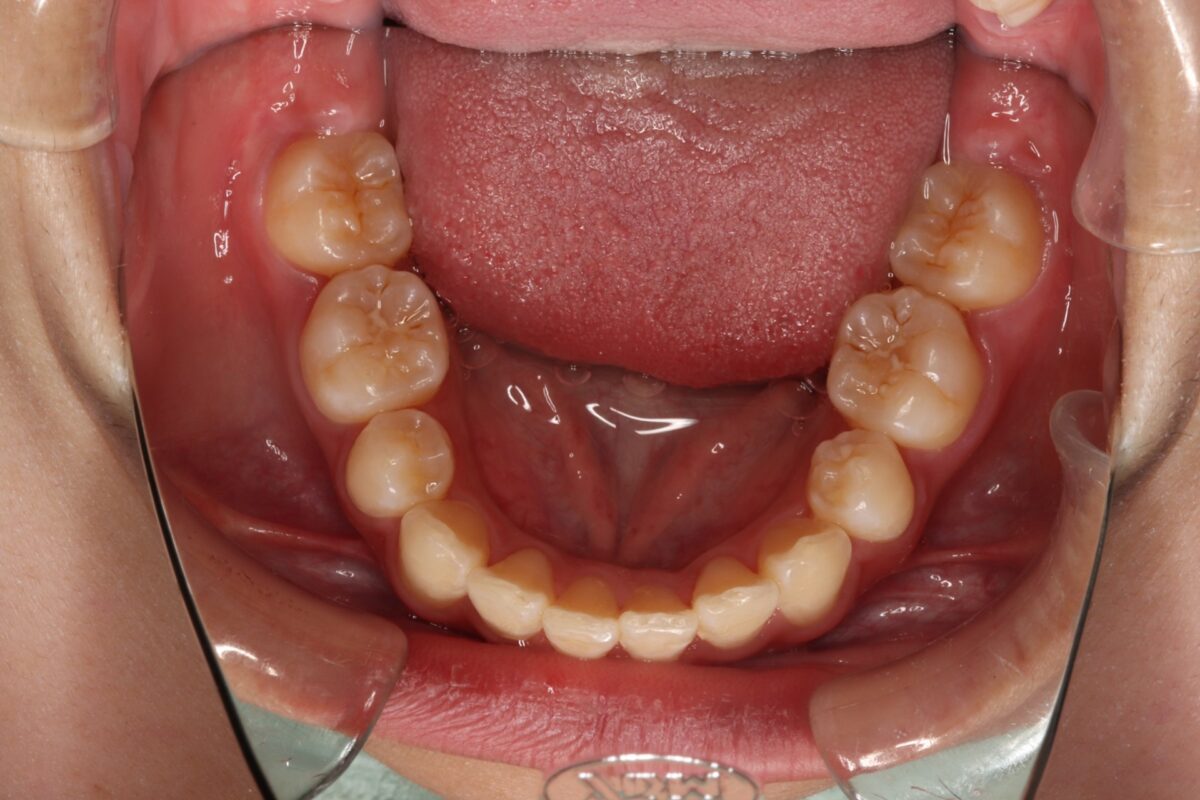
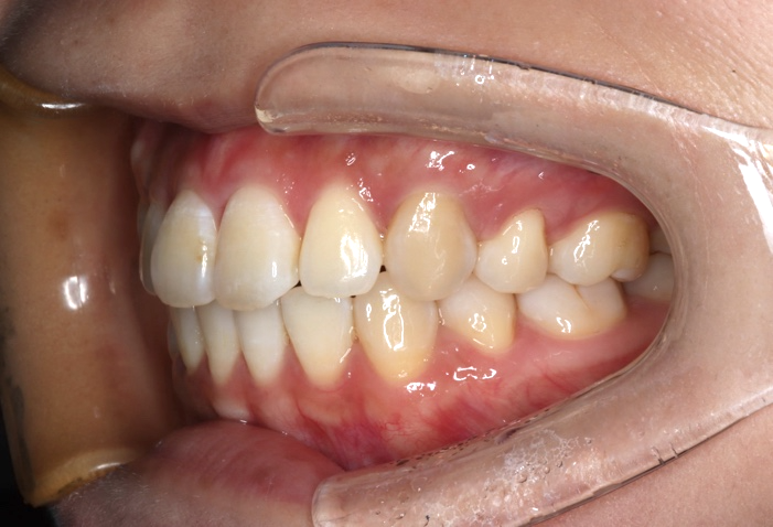
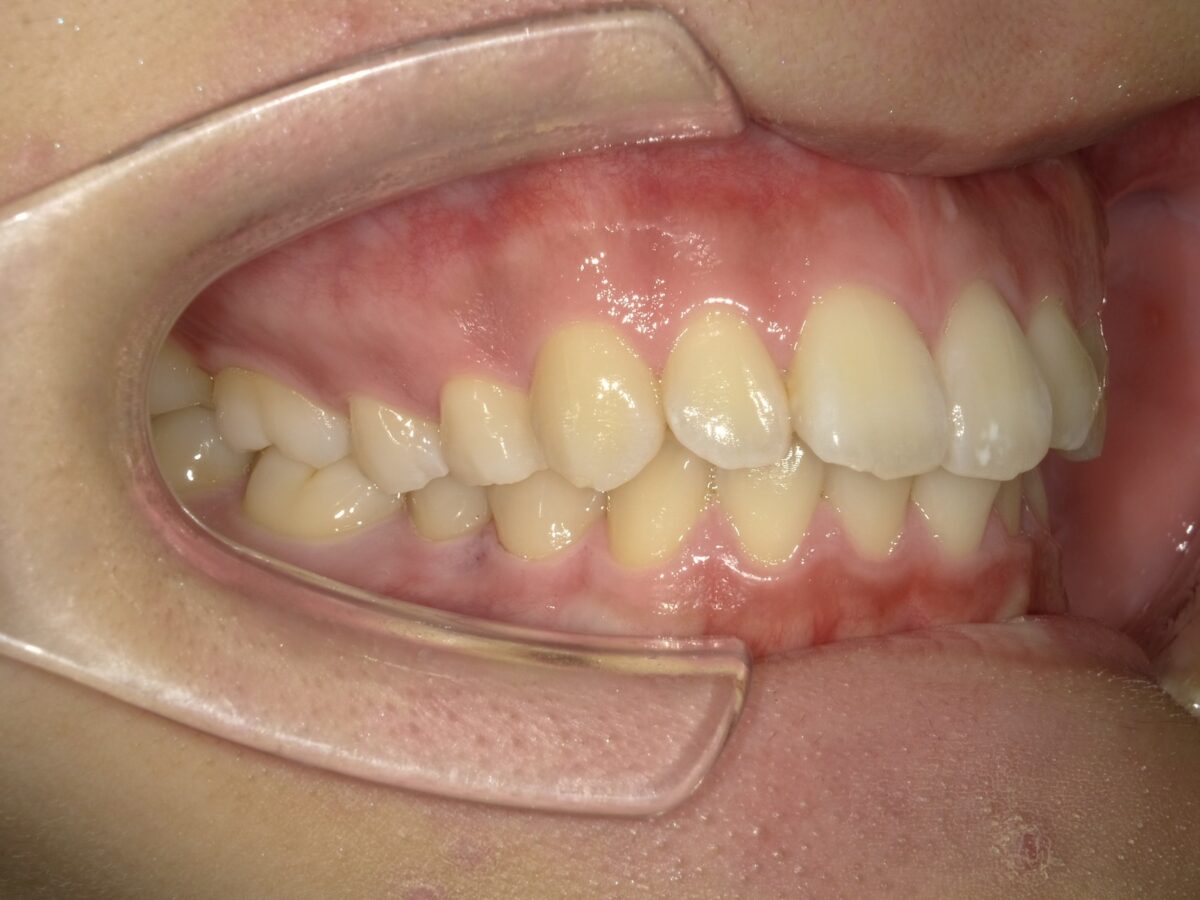
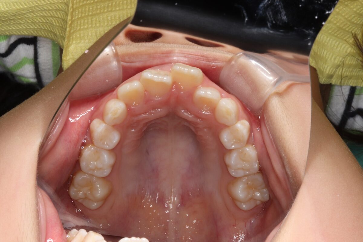
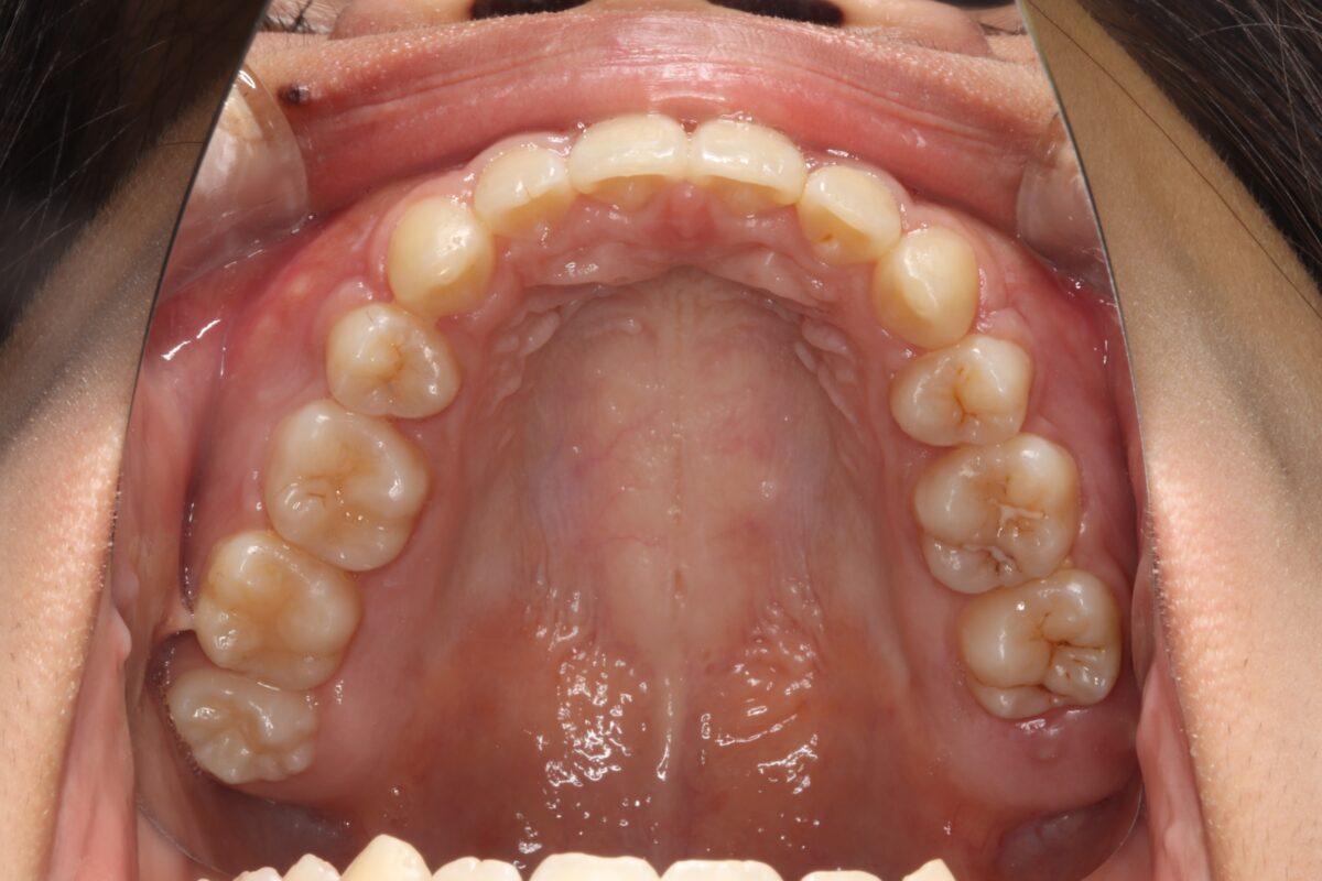
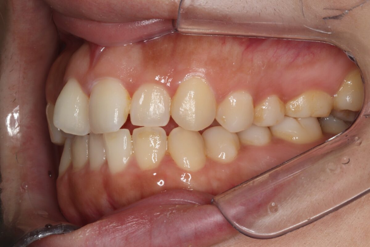
症例
只今、準備中です。