2026年5月11日(月)
名古屋市昭和区御器所・川名エリアに
開院予定!
- 矯正無料相談会
〈完全予約制〉 - 2026年
4月29日(水)~5月6日(水)
♦3月1日(日)から予約開始 - 内覧会
- 2026年
5月9日(土)・10日(日)
たくさんのご応募をいただき誠にありがとうございました。
公開まで今しばらくお待ちくださいますよう、お願い申し上げます。
NEWS新着情報
- 2026年1月16日
- 公式Instagramアカウントについて
- 2026年1月15日
- 公式LINEアカウントを開設しました
- 2025年12月25日
- ホームページを公開しました

どこで受けても同じ?
矯正治療は、医院によって仕上がりに差が出ます
歯並びや口元の美しさへの関心が高まり、早い段階から矯正治療を始める方が増えています。それに伴い、価格の安さを前面に出した矯正ブランドや、マウスピース型矯正装置のみを扱う歯科医院も増えてきました。しかし、これらは軽度から中等度の歯並び改善を中心としており、「見た目だけを整える」治療に留まってしまうケースも少なくありません。
矯正治療は、単に歯を動かすだけではなく、噛み合わせや顎の骨格バランスまで関わる高度な医療行為です。そのため、医院によって治療の精度に大きな差が出てしまうのが現実です。
費用の安さのみで選んでしまうと、思い通りの結果が得られず、再治療が必要になるケースもあります。
特に重度の歯並びや複雑な症例に対応するためには、歯科医師の経験や技術に加え、歯科用CT・セファログラム・口腔内スキャナーといった精密検査機器、そしてワイヤー矯正・マウスピース矯正・アンカースクリューなど、多様な矯正装置が必要不可欠です。
幅広い設備と選択肢が整ってこそ、患者様に最適な治療計画を立てることができ、確かな結果につながります。
矯正専門歯科医院だからこそ
精密な分析と高度な技術で
美しい仕上がりを実現
矯正治療の仕上がりは、精密な分析と高度な技術で差が出ます。
当院では、丁寧なカウンセリングと先進のデジタル機器で詳細に検査し、患者様一人ひとりに最適な治療計画を立てます。
豊富な矯正装置と熟練の技術で、自然で美しい歯並びと顔全体のバランスを整えます。

経験豊富な歯科医師による
丁寧で分かりやすい説明の
カウンセリング
矯正治療では高額かつ長期的な治療になるため、より成功率を上げるために、初めの相談が肝心です。
経験豊富歯科医師が、丁寧で分かりやすい説明と、患者様一人ひとりに合わせた矯正治療のご提案をいたします。患者様にご納得いただいてから、治療を開始いたします。
不安や疑問に思ったことがありましたらお気軽にご相談ください。

デジタル分析と充実した
設備で、精密な診断と
適切な治療計画を実現
歯科用CTスキャンやセファロレントゲン、口腔内スキャナー(iTero,シャイニング)など、AIによる最新のデジタル技術を駆使して、高精度な分析データを基に、精密な診断を行っています。
患者様の歯並びやライフスタイル、要望に合わせた適切な治療計画をご提案をいたします。

骨格から整える
お顔全体のバランスを
考慮した美しい歯並び
歯並びは口元だけでなく、お顔全体の骨格や筋肉バランスを考えて整えることが大切です。
当院では、横顔のEラインや口元と目元・頬の調和など、顔全体のバランスにこだわり、自然な表情に馴染む美しい歯並びを追求しています。
患者様一人ひとりの骨格や顔立ちに合わせたオーダーメイドの治療で、自信の持てる笑顔づくりをサポートします。

歯を並べるだけじゃない
機能性も重視した
矯正治療
当院の矯正治療は、歯をただ並べるだけを目的としていません。
お口周りの骨格やお顔全体の筋肉の動きまで丁寧に検査することにより、見た目の美しさだけではなく、噛む・話すなどの機能性も兼ね備えた治療を大切にしています。
自然で美しく、長く安定した歯並びを追求しています。

難症例にも対応できる
多彩な治療法で
より高度な矯正が可能
マウスピース矯正やワイヤー矯正に加え、必要に応じてアンカースクリューを活用することで、より複雑で難しい歯並びの症例にも対応しています。これにより、従来の矯正だけでは難しかった歯の移動も可能となり、幅広い治療の選択肢をご提供できます。

院内完結のインハウス体制
だから費用を抑え、
すぐに矯正治療を
始められます
当院では、マウスピース型矯正装置を院内で設計・制作する「インハウスアライナー」を導入しています。
外部発注が不要なため、型取り後すぐに矯正治療を開始でき、費用も抑えられます。
院内完結だからこそ、患者様の歯の状態に合わせた細やかな調整ができ、スムーズで短期間の治療を実現します。
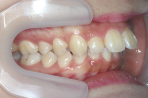
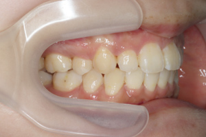
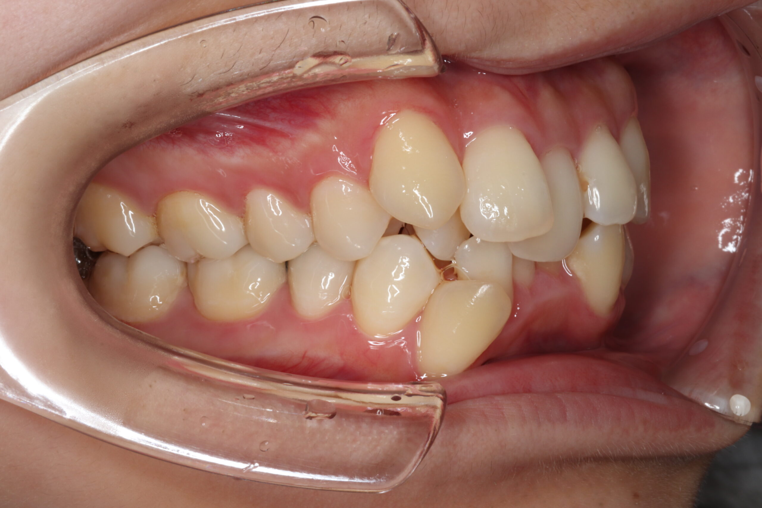
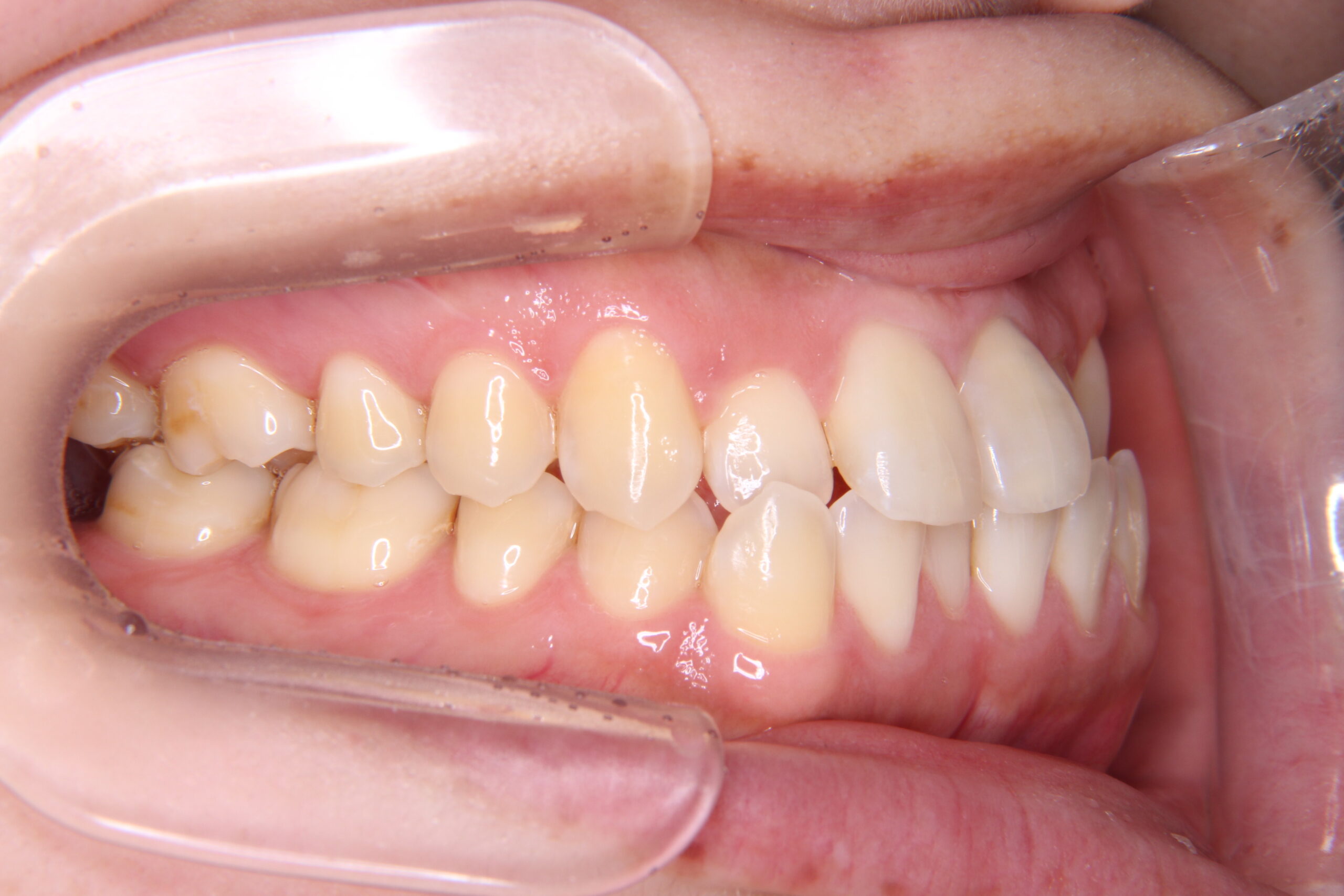
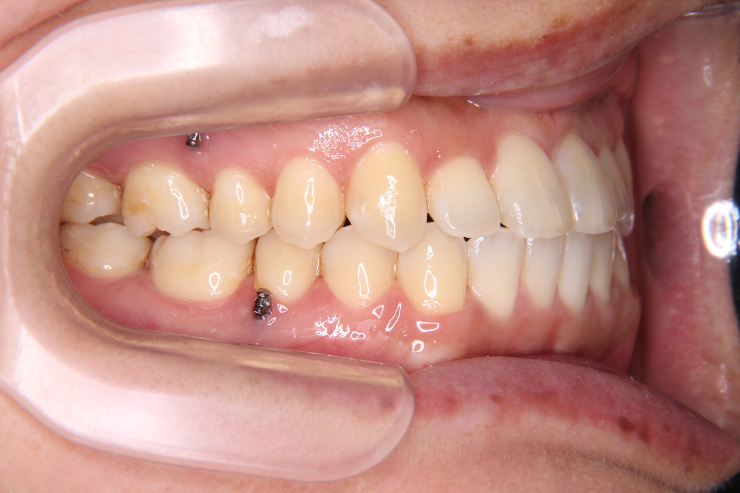
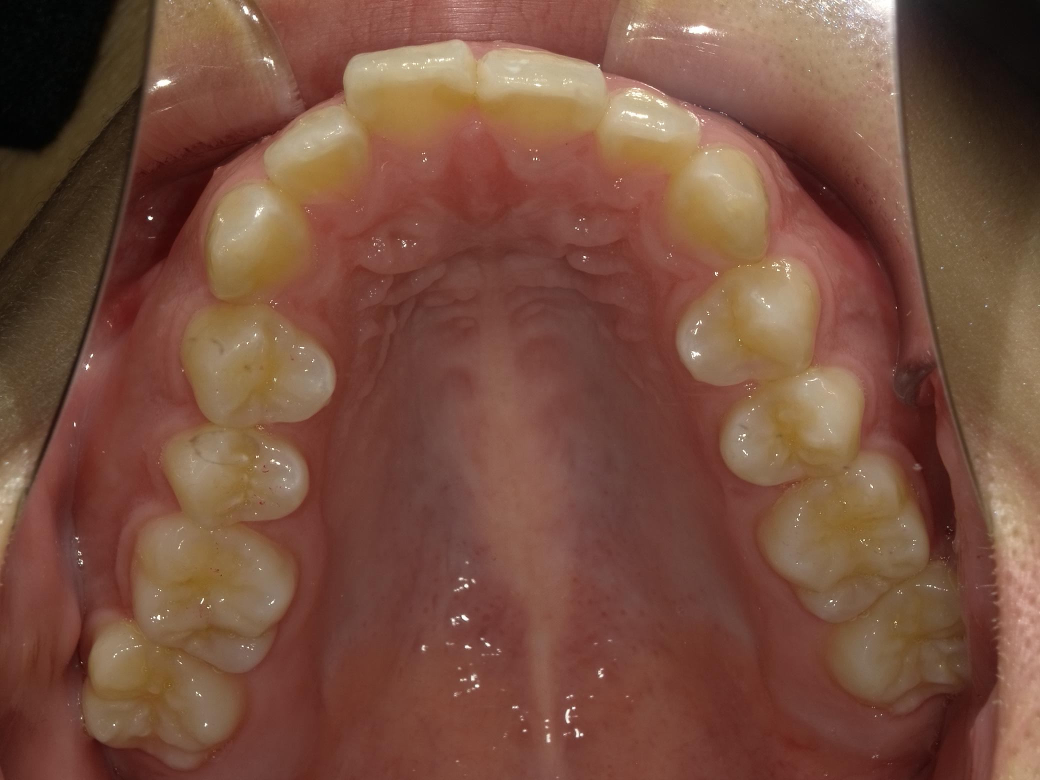
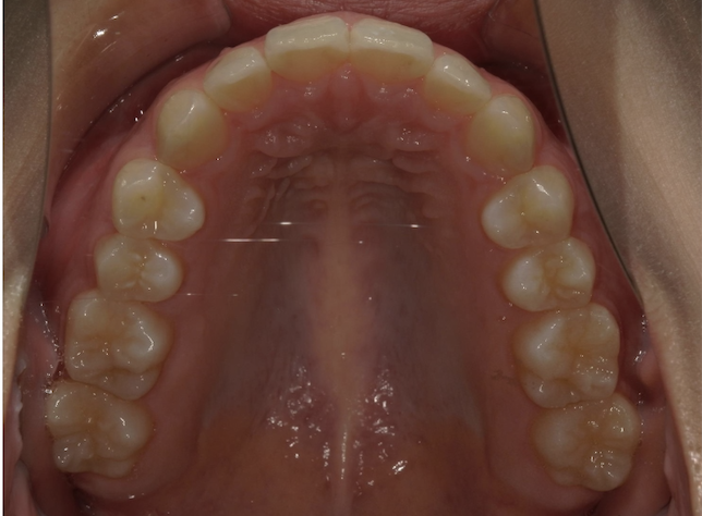
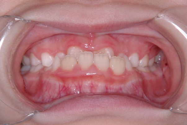
症例
矯正歯科専門の歯科医師が専門的な知識と確かな実績を
もとに患者様にあった最適な治療プランをご提案します。
GREETING
信頼と安心の矯正治療
患者様に寄り添う治療計画を
皆さま、はじめまして。院長の関 大輔です。
当院では、歯並びを整えることはもちろん、顔全体のバランスや口元の機能にも配慮した矯正治療を行っております。
矯正は一生に一度の大切な治療だからこそ、患者様一人ひとりのご希望やライフスタイルに寄り添い、最適な治療計画をご提案しています。最新の設備と豊富な矯正装置を駆使し、難しい症例にも対応できる体制を整えております。
患者様が安心して治療に臨める環境づくりを心がけ、自然で美しい笑顔と健康な噛み合わせを手に入れていただけるよう全力でサポートいたします。
どうぞお気軽にご相談ください。


BLOGブログ
- 2026年2月9日
- 【専門医が解説】マウスピース矯正で「治る症例」と「ワイヤーが望ましい症例」の違い
- 2026年2月8日
- 矯正治療の期間はなぜ人によって違うのか | 2年・3年という数字の正しい見方
- 2026年1月25日
- 矯正治療の費用はなぜ差が出るのか|金額だけで判断してはいけない理由






































